You have no items in your shopping cart.
You have no items in your shopping cart.
| Catalog Number | orb1241245 |
|---|---|
| Category | Antibodies |
| Description | RHBDL2 Antibody |
| Target | RHBDL2 |
| Clonality | Polyclonal |
| Conjugation | Unconjugated |
| Reactivity | Human |
| Form/Appearance | Liquid |
| Concentration | batch dependent |
| Buffer/Preservatives | Purified antibody supplied in 1x PBS buffer with 0.09% (w/v) sodium azide and 2% sucrose. |
| Purification | Antibody is purified by peptide affinity chromatography method. |
| Immunogen | Antibody produced in rabbits immunized with a synthetic peptide corresponding a region of human RHBDL2. |
| UniProt ID | Q9NX52 |
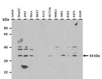
| MW | 34 kDa |
| Tested applications | ELISA, WB |
| Application notes | RHBDL2 antibody can be used for detection of RHBDL2 by ELISA at 1:312500. RHBDL2 antibody can be used for detection of RHBDL2 by western blot at 1.0 μg/mL, and HRP conjugated secondary antibody should be diluted 1:50,000 - 100,000. |
| Antibody Type | Primary Antibody |
| Storage | Maintain refrigerated at 2-8°C for up to 2 weeks. For long term storage store at -20°C in small aliquots to prevent freeze-thaw cycles. |
| Alternative names | RHBDL2, MGC16997, RRP2 |
| Note | For research use only |
| NCBI | NP_060291 |

Antibody used in WB on Human PANC1 at 0.2-1 ug/ml.
WB | |
Bovine, Canine, Equine, Porcine, Rabbit, Rat | |
Human | |
Rabbit | |
Polyclonal | |
Unconjugated |
ELISA, WB | |
Mouse, Rat | |
Human | |
Rabbit | |
Polyclonal | |
Unconjugated |
Participating in our Biorbyt product reviews program enables you to support fellow scientists by sharing your firsthand experience with our products.
Login to Submit a Review