You have no items in your shopping cart.
Description
Research Area
Images & Validation
−| Tested Applications | ELISA, IF, IHC-P, WB |
|---|---|
| Reactivity | Human, Mouse, Rat |
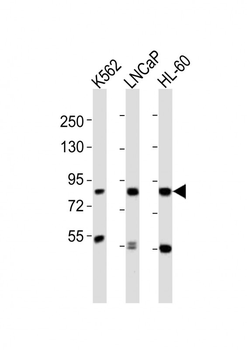
| Application Notes |
Key Properties
−| Antibody Type | Primary Antibody |
|---|---|
| Host | Rabbit |
| Clonality | Polyclonal |
| Isotype | IgG |
| Immunogen | RHAMM antibody was raised against a 18 amino acid synthetic peptide near the amino terminus of human RHAMM.The immunogen is located within amino acids 80 - 130 of RHAMM. |
| Target | HMMR |
| Purification | RHAMM Antibody is affinity chromatography purified via peptide column. |
| Conjugation | Unconjugated |
Storage & Handling
−| Storage | Maintain refrigerated at 2-8°C for up to 2 weeks. For long term storage store at -20°C in small aliquots to prevent freeze-thaw cycles. |
|---|---|
| Form/Appearance | Liquid |
| Buffer/Preservatives | RHAMM Antibody is supplied in PBS containing 0.02% sodium azide. |
| Concentration | 1 mg/mL |
| Expiration Date | 12 months from date of receipt. |
| Disclaimer | For research use only |
Alternative Names
−Similar Products
−HMMR Antibody (C-term) [orb1937966]
FC, IHC-P, WB
Human, Mouse, Rat
Rabbit
Polyclonal
Unconjugated
100 μl, 50 μlHuman Hyaluronan Mediated Motility Receptor (HMMR) ELISA Kit [orb777134]
Human
0.16-10 ng/mL
0.059 ng/mL
96 T, 48 THMMR Antibody [orb3161604]
ELISA, ICC, IF, IHC, WB
Human, Mouse, Rat
Rabbit
Polyclonal
Unconjugated
50 μl, 100 μlHMMR Antibody [orb3161603]
ELISA, ICC, WB
Human, Mouse, Rat
Rabbit
Polyclonal
Unconjugated
50 μl, 100 μl

Quality Guarantee
Explore bioreagents carefree to elevate your research. All our products are rigorously tested for performance. If a product does not perform as described on its datasheet, our scientific support team will provide expert troubleshooting, a prompt replacement, or a refund. For full details, please see our Terms & Conditions and Buying Guide. Contact us at [email protected].

RHAMM KO Validation in HeLa Cells, Loading: 10 µg of lysate Antibodies: XRHAMM orb1239142, 1 µg/mL and beta-actin, 1 µg/mL, 1 h incubation at RT in 5% NFDM/TBST. Secondary: Goat Anti-Rabbit IgG HRP conjugate at 1:10000 dilution.

Western blot analysis of RHAMM in rat stomach tissue lysate with RHAMM antibody at 0.5 µg/mL.

Immunohistochemistry of RHAMM in human stomach tissue with RHAMM antibody at 2.5 µg/mL.

Immunofluorescence of RHAMM in human stomach tissue with RHAM antibody at 20 µg/mL.
Documents Download
Request a Document
Protocol Information
HMMR Antibody (orb1239142)
Participating in our Biorbyt product reviews program enables you to support fellow scientists by sharing your firsthand experience with our products.
Login to Submit a Review








