You have no items in your shopping cart.
RELA Rabbit Polyclonal Antibody
Description
Research Area
Images & Validation
−| Tested Applications | ELISA, FC, IF, IHC, IP, WB |
|---|---|
| Dilution Range | WB: 1:500-1:5000; IP: 1:500-1:5000; IHC: 1:50-1:200; IF: 1:10-1:100 |
| Reactivity | Human, Mouse, Porcine, Rat |
Key Properties
−| Antibody Type | Primary Antibody |
|---|---|
| Host | Rabbit |
| Clonality | Polyclonal |
| Isotype | IgG |
| Immunogen | v-rel reticuloendotheliosis viral oncogene homolog A(avian) |
| Target | RELA |
| Purity | ≥95% as determined by SDS-PAGE |
| Purification | Immunogen affinity purified |
| Conjugation | Unconjugated |
Storage & Handling
−| Storage | Maintain refrigerated at 2-8°C for up to 2 weeks. For long term storage store at -20°C in small aliquots to prevent freeze-thaw cycles. |
|---|---|
| Form/Appearance | liquid |
| Expiration Date | 12 months from date of receipt. |
| Disclaimer | For research use only |
Alternative Names
−Similar Products
−NFKB p65 Rabbit Polyclonal Antibody [orb11118]
FC, ICC
Bovine, Canine, Equine, Gallus, Porcine, Rabbit, Rat, Sheep, Zebrafish
Human, Mouse
Rabbit
Polyclonal
Unconjugated
50 μl, 100 μl, 200 μlNFKB p65 Rabbit Polyclonal Antibody [orb312399]
FC, ICC, IF, IHC-Fr, IHC-P, WB
Bovine, Canine, Porcine
Human, Mouse, Rat
Rabbit
Polyclonal
Unconjugated
50 μl, 100 μl, 200 μlPhospho-NFKB p65 (Ser468) Rabbit Polyclonal Antibody [orb6503]
FC, ICC, IF, IHC-Fr, IHC-P, WB
Bovine, Canine, Equine, Porcine
Human, Mouse, Rat
Rabbit
Polyclonal
Unconjugated
100 μl, 50 μl, 200 μlPhospho-NFKB p65 (Ser536) Rabbit Polyclonal Antibody [orb6504]
IF, IHC-Fr, IHC-P, WB
Human, Monkey, Rat
Mouse
Rabbit
Polyclonal
Unconjugated
100 μl, 50 μl, 200 μlRELA Rabbit Polyclonal Antibody [orb573634]
IHC, WB
Bovine, Canine, Porcine, Rat
Human, Mouse
Rabbit
Polyclonal
Unconjugated
100 μl

Quality Guarantee
Explore bioreagents carefree to elevate your research. All our products are rigorously tested for performance. If a product does not perform as described on its datasheet, our scientific support team will provide expert troubleshooting, a prompt replacement, or a refund. For full details, please see our Terms & Conditions and Buying Guide. Contact us at [email protected].

HeLa cells were subjected to SDS PAGE followed by western blot with orb629611 (p65 antibody) at dilution of 1:1000.

Immunofluorescent analysis of HepG2 cells, using orb629611 (RELA antibody) at 1:25 dilution and Rhodamine-labeled goat anti-rabbit IgG (red).

IP Result of anti-p65 (IP: orb629611, 3 ug; Detection: orb629611 1:1000) with HeLa cells lysate 5000 ug.

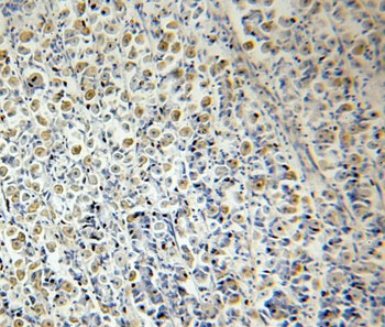
Immunohistochemistry of paraffin-embedded human liver cancer using orb629611 (p65 antibody) at dilution of 1:50.
Quick Database Links
UniProt Details
−Documents Download
Request a Document
Protocol Information
RELA Rabbit Polyclonal Antibody (orb629611)
Participating in our Biorbyt product reviews program enables you to support fellow scientists by sharing your firsthand experience with our products.
Login to Submit a Review













































