You have no items in your shopping cart.
You have no items in your shopping cart.
| Catalog Number | orb1529424 |
|---|---|
| Category | Antibodies |
| Description | USP10 Antibody |
| Target | USP10 |
| Clonality | Polyclonal |
| Species/Host | Rabbit |
| Conjugation | Unconjugated |
| Reactivity | Human, Mouse |
| Form/Appearance | Whole IgG |
| Concentration | 200 µg/ml |
| Buffer/Preservatives | Tris-buffered Saline containing 0.1% rAlbumin and 0.09% Sodium Azide |
| Immunogen | Between 50 and 100 |
| UniProt ID | Q14694 |
| Tested applications | IHC, IP, WB |
| Dilution range | WB - 1:2,000 - 1:10,000; IP - 2 - 10 µg/mg lysate; IHC - 1:20 to 1:100. Epitope retrieval with citrate buffer pH6.0 is recommended for FFPE tissue sections. |
| Application notes | Format: Whole IgG |
| Antibody Type | Primary Antibody |
| Storage | 2 - 8°C |
| Alternative names | ubiquitin thioesterase 10; UBPO; ubiquitin thioles Read more... |
| Note | For research use only |
| NCBI | NP_005144.1 |

Detection of human USP10 by western blot.Samples: Whole cell lysate from MCF-7, HEK293T, A-549, HeLa, and Hep-G2 cells. Antibody: Affinity purified rabbit anti-USP10 antibody at 0.04 µg/ml.

Detection of mouse USP10 by western blot.Samples: Nuclear extract from NIH 3T3, TCMK-1, CT26, CH27, and BW5147.3 cells. Antibody: Affinity purified rabbit anti-USP10 antibody at 0.04 µg/ml.

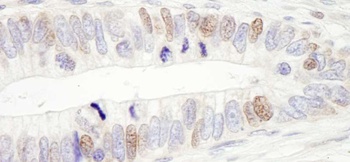
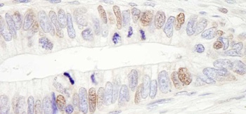
Detection of human USP10 by immunohistochemistry. Sample: FFPE section of human ovarian carcinoma. Antibody: Affinity purified rabbit anti- USP10 used at a dilution of 1:200 (1µg/ml).

Detection of human USP10 by western blot of immunoprecipitates.Samples: Whole cell lysate from HEK293T cells. Antibodies: Affinity purified rabbit anti-USP10 antibody.
Participating in our Biorbyt product reviews program enables you to support fellow scientists by sharing your firsthand experience with our products.
Login to Submit a Review