You have no items in your shopping cart.
You have no items in your shopping cart.
| Catalog Number | orb1529484 |
|---|---|
| Category | Antibodies |
| Description | Gemin4 Antibody |
| Target | Gemin4 |
| Clonality | Polyclonal |
| Species/Host | Rabbit |
| Conjugation | Unconjugated |
| Reactivity | Human |
| Form/Appearance | Whole IgG |
| Concentration | 200 µg/ml |
| Buffer/Preservatives | Tris-buffered Saline containing 0.1% rAlbumin and 0.09% Sodium Azide |
| Immunogen | Between 1008 and C-terminus |
| UniProt ID | P57678 |
| Tested applications | IHC, IP, WB |
| Dilution range | WB - 1:2,000 - 1:10,000; IP - 2 - 5 µg/mg lysate; IHC - 1:100 - 1:500. Epitope retrieval with Tris-EDTA pH 9.0 is recommended for FFPE tissue sections. |
| Application notes | Format: Whole IgG |
| Antibody Type | Primary Antibody |
| Storage | 2 - 8°C |
| Alternative names | gem-associated protein 4; p97; NEDMCR; HHRF-1; HCC Read more... |
| Note | For research use only |
| NCBI | NP_056536.1 |

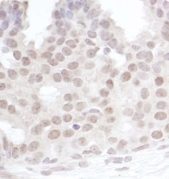
Detection of human Gemin4 by immunohistochemistry. Sample: FFPE section of human breast carcinoma. Antibody: Affinity purified rabbit anti-Gemin4 used at a dilution of 1:200 (1µg/ml).

Detection of human Gemin4 by WB and IP.Samples: HeLa and HEK293T cells. Antibodies: Affinity purified rabbit anti-Gemin4 antibody used for WB at 0.04 µg/ml (A) and 1 µg/ml (B) and used for IP at 3 µg/mg lysate (B).
Participating in our Biorbyt product reviews program enables you to support fellow scientists by sharing your firsthand experience with our products.
Login to Submit a Review