You have no items in your shopping cart.
You have no items in your shopping cart.
| Catalog Number | orb1526869 |
|---|---|
| Category | Antibodies |
| Description | DLG5 Antibody |
| Target | DLG5 |
| Clonality | Polyclonal |
| Species/Host | Rabbit |
| Conjugation | Unconjugated |
| Reactivity | Human |
| Form/Appearance | Whole IgG |
| Concentration | 1000 µg/ml |
| Buffer/Preservatives | Tris-citrate/phosphate buffer, pH 7 to 8 containing 0.09% Sodium Azide |
| Immunogen | Between 1325 and 1375 |
| UniProt ID | Q8TDM6 |
| Tested applications | IP, WB |
| Dilution range | WB - 1:2,000 - 1:10,000; IP - 10 µg/mg lysate |
| Application notes | Format: Whole IgG |
| Antibody Type | Primary Antibody |
| Storage | 2 - 8°C |
| Alternative names | large type of P-DLG; PDLG; P-DLG5; LP-DLG; discs, Read more... |
| Note | For research use only |
| NCBI | NP_004738.3 |

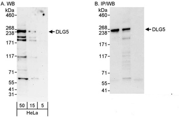
Detection of human DLG5 by western blot and immunoprecipitation. Samples: Whole cell lysate (5, 15 and 50 µg for WB; 1 mg for IP, 20% of IP loaded) from HeLa cells. Antibodies: Affinity purified rabbit anti-DLG5 antibody orb1526869 used for WB at 0.1 µg/ml (A) and 1 µg/ml (B) and used for IP at 10 µg/mg lysate. DLG5 was also immunoprecipitated by rabbit anti-DLG5 antibody, which recognizes an upstream epitope. Detection: Chemiluminescence with exposure times of 3 minutes (A) and 30 seconds (B).
Participating in our Biorbyt product reviews program enables you to support fellow scientists by sharing your firsthand experience with our products.
Login to Submit a Review