You have no items in your shopping cart.
You have no items in your shopping cart.
| Catalog Number | orb1528547 |
|---|---|
| Category | Antibodies |
| Description | CPSF59 Antibody |
| Target | CPSF59 |
| Clonality | Polyclonal |
| Species/Host | Rabbit |
| Conjugation | Unconjugated |
| Reactivity | Human |
| Form/Appearance | Whole IgG |
| Concentration | 1000 µg/ml |
| Buffer/Preservatives | Tris-citrate/phosphate buffer, pH 7 to 8 containing 0.09% Sodium Azide |
| Immunogen | Between 175 and 225 |
| UniProt ID | Q8N684 |
| Tested applications | IHC, IP |
| Dilution range | WB - Not recommended. Use rabbit anti-CPSF59 antibody A301-359A.; IP - 2 - 5 µg/mg lysate; IHC - 1:500 - 1:2,000. Epitope retrieval with citrate buffer pH 6.0 is recommended for FFPE tissue sections. |
| Application notes | Format: Whole IgG |
| Antibody Type | Primary Antibody |
| Storage | 2 - 8°C |
| Alternative names | CFIm59; cleavage and polyadenylation specificity f Read more... |
| Note | For research use only |
| NCBI | NP_079087.2 |

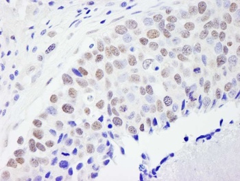
Detection of human CPSF59 by immunohistochemistry. Sample: FFPE section of human breast carcinoma. Antibody: Affinity purified rabbit anti-CPSF59 used at a dilution of 1:500 (2µg/ml).

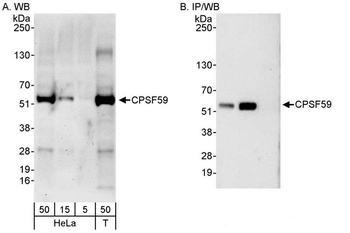
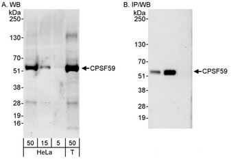
Detection of human CPSF59 by western blot of immunoprecipitates.Samples: Whole cell lysate from HeLa cells. Antibodies: Affinity purified rabbit anti-CPSF59 antibody.
Participating in our Biorbyt product reviews program enables you to support fellow scientists by sharing your firsthand experience with our products.
Login to Submit a Review