You have no items in your shopping cart.
Description
Research Area
Images & Validation
−| Tested Applications | WB |
|---|---|
| Reactivity | Human |
| Predicted Reactivity | Bovine, Canine, Equine, Guinea pig, Mouse, Rabbit, Rat |
Key Properties
−| Host | Rabbit |
|---|---|
| Clonality | Polyclonal |
| Target | RAB31 |
| Protein Sequence | Synthetic peptide located within the following region: EVPLKDAKEYAESIGAIVVETSAKNAINIEELFQGISRQIPPLDPHENGN |
| Molecular Weight | 21kDa |
| Purification | Affinity Purified |
| Conjugation | Unconjugated |
Storage & Handling
−| Storage | Maintain refrigerated at 2-8°C for up to 2 weeks. For long term storage store at -20°C in small aliquots to prevent freeze-thaw cycles. |
|---|---|
| Buffer/Preservatives | Liquid. Purified antibody supplied in 1x PBS buffer with 0.09% (w/v) sodium azide and 2% sucrose. |
| Concentration | 0.5 mg/ml |
| Expiration Date | 12 months from date of receipt. |
| Disclaimer | For research use only |
Alternative Names
−Similar Products
−Rab 31 rabbit pAb Antibody [orb767459]
ELISA, IHC, WB
Human, Mouse, Rat
Recombinant
Unconjugated
100 μl, 50 μlRAB31 specific Rabbit Polyclonal Antibody [orb395496]
ELISA, IHC, WB
Human, Mouse, Rat
Rabbit
Polyclonal
Unconjugated
50 μg, 100 μgRAB31 Rabbit Polyclonal Antibody [orb2953414]
ELISA, IHC, WB
Human
Rabbit
Polyclonal
Unconjugated
50 μg, 100 μgRAB31 Rabbit Polyclonal Antibody [orb312851]
IF, IHC-Fr, IHC-P
Bovine, Canine, Equine, Feline, Gallus, Guinea pig, Human, Porcine, Rabbit, Rat, Sheep
Mouse
Rabbit
Polyclonal
Unconjugated
200 μl, 50 μl, 100 μlRab31 Rabbit Polyclonal Antibody [orb585185]
WB
Bovine, Canine, Equine, Guinea pig, Human, Mouse, Rabbit, Zebrafish
Rat
Rabbit
Polyclonal
Unconjugated
100 μl

Quality Guarantee
Explore bioreagents carefree to elevate your research. All our products are rigorously tested for performance. If a product does not perform as described on its datasheet, our scientific support team will provide expert troubleshooting, a prompt replacement, or a refund. For full details, please see our Terms & Conditions and Buying Guide. Contact us at [email protected].

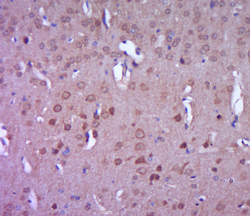
Positive control (+): Human Brain (BR), Negative control (-): Human Liver (LI), Antibody concentration: 1 ug/ml.

Lane 1: GFP-Rab5 transfected cos cells, Lane 2: GFP-Rab31 transfected cos cells, Primary Antibody dilution: 1:500, Secondary Antibody: Goat anti rabbit-HRP, Secondary Antibody dilution: 1:5000, Gene Name: RAB31.

WB Suggested Anti-RAB31 Antibody, Titration: 1.0 ug/ml, Positive Control: Fetal Brain.
Documents Download
Request a Document
RAB31 Rabbit Polyclonal Antibody (orb585186)
Participating in our Biorbyt product reviews program enables you to support fellow scientists by sharing your firsthand experience with our products.
Login to Submit a Review





