You have no items in your shopping cart.
You have no items in your shopping cart.

| Catalog Number | orb680633 |
|---|---|
| Category | Antibodies |
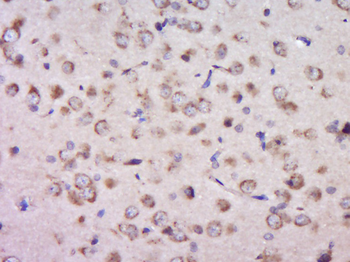
| Description | This PTPRS Antibody is an unconjugated polyclonal product. It tagets PTPRS using a Human PTPRS as the immunogen. This antibody is suitable for ELISA, FC, IHC, IP, WB. Purification: Antigen Affinity Purified. |
| Target | PTPRS |
| Clonality | Polyclonal |
| Species/Host | Rabbit |
| Isotype | IgG |
| Conjugation | Unconjugated |
| Reactivity | Human, Mouse, Rat |
| Form/Appearance | Liquid |
| Buffer/Preservatives | PBS with 0.1% Sodium Azide, 50% Glycerol, pH 7.3. -20°C, Avoid freeze / thaw cycles. |
| Purification | Antigen Affinity Purified |
| Immunogen | Human PTPRS |
| UniProt ID | Q13332 |
| Tested applications | ELISA, FC, IHC, IP, WB |
| Storage | Maintain refrigerated at 2-8°C for up to 2 weeks. For long term storage store at -20°C in small aliquots to prevent freeze-thaw cycles. |
| Alternative names | Anti-protein tyrosine phosphatase antibody, anti-r Read more... |
| Research Area | Signal Transduction |
| Note | For research use only |
Human | |
0.79-50 ng/mL | |
0.34 ng/mL |
ELISA, FC, IHC, IP, WB | |
Human, Mouse, Rat | |
Rabbit | |
Polyclonal | |
Unconjugated |
IF, IHC-Fr, IHC-P | |
Human, Mouse | |
Rat | |
Rabbit | |
Polyclonal | |
Unconjugated |
Participating in our Biorbyt product reviews program enables you to support fellow scientists by sharing your firsthand experience with our products.
Login to Submit a Review