You have no items in your shopping cart.
Pro-neuregulin-1, membrane-bound isoform Rabbit Polyclonal Antibody
Description
Images & Validation
−| Tested Applications | FC, IF, IHC-Fr, IHC-P, WB |
|---|---|
| Dilution range | WB=1:500-2000, IHC-P=1:100-500, IHC-F=1:100-500, IF=1:100-500, Flow-Cyt=3ug/test |
| Reactivity | Human, Mouse, Rat |
| Predicted Reactivity | Canine, Gallus, Rabbit |
Related Conjugates & Formulations
−Key Properties
−| Antibody Type | Primary Antibody |
|---|---|
| Host | Rabbit |
| Clonality | Polyclonal |
| Isotype | IgG |
| Immunogen | KLH conjugated synthetic peptide derived from mouse Pro-NRG1 (221-320/645aa) |
| Target | NRG1 |
| Molecular Weight | 71 kDa |
| Purification | Affinity purified by Protein A |
| Conjugation | Unconjugated |
Storage & Handling
−| Storage | Maintain refrigerated at 2-8°C for up to 2 weeks. For long term storage store at -20°C in small aliquots to prevent freeze-thaw cycles. |
|---|---|
| Form/Appearance | Liquid |
| Buffer/Preservatives | 0.01M TBS (pH7.4) with 1% rAlbumin, 0.02% Proclin300 and 50% Glycerol. |
| Concentration | 1mg/ml |
| Disclaimer | For research use only |
Alternative Names
−Similar Products
−HRG1 Rabbit Polyclonal Antibody [orb500749]
IF, IHC-Fr, IHC-P
Bovine, Equine, Human, Rabbit, Sheep
Mouse, Rat
Rabbit
Polyclonal
Unconjugated
50 μl, 100 μl, 200 μlHRG1 Rabbit Polyclonal Antibody [orb13478]
IF, IHC-Fr, IHC-P, WB
Canine, Equine, Gallus, Guinea pig, Porcine, Rabbit, Zebrafish
Human, Mouse, Rat
Rabbit
Polyclonal
Unconjugated
50 μl, 100 μl, 200 μlNeuregulin-1 SMDF rabbit pAb Antibody [orb768611]
ELISA, IF, IHC, WB
Human, Mouse, Rat
Polyclonal
Unconjugated
100 μl, 50 μlNeuregulin-1 Polyclonal Antibody [orb1411241]
IHC-P, WB
Human, Mouse, Rat
Rabbit
Polyclonal
Unconjugated
100 μl

Quality Guarantee
Explore bioreagents carefree to elevate your research. All our products are rigorously tested for performance. If a product does not perform as described on its datasheet, our scientific support team will provide expert troubleshooting, a prompt replacement, or a refund. For full details, please see our Terms & Conditions and Buying Guide. Contact us at [email protected].

Blank control: A549. Primary Antibody (green line): Rabbit Anti-Pro-neuregulin-1, membrane-bound isoform antibody (orb13479), Dilution: 1 µg/10^6 cells, Isotype Control Antibody (orange line): Rabbit IgG. Secondary Antibody: Goat anti-rabbit IgG-PE, Dilution: 3 µg/Test. Protocol, The cells were fixed with 4% PFA (10 min at room temperature) and then permeabilized with 90% ice-cold methanol for 20 min at -20°C. The cells were then incubated in 5% BSA to block non-specific protein-protein interactions for 30 min at at room temperature. Cells stained with Primary Antibody for 30 min at room temperature. The secondary antibody used for 40 min at room temperature. Acquisition of 20000 events was performed.

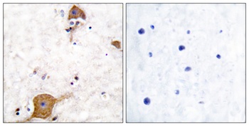
Paraformaldehyde-fixed, paraffin embedded (Mouse brain), Antigen retrieval by boiling in sodium citrate buffer (pH6.0) for 15 min, Block endogenous peroxidase by 3% hydrogen peroxide for 20 minutes, Blocking buffer (normal goat serum) at 37°C for 30 min, Antibody incubation with (Pro-neuregulin-1, membrane-bound isoform) Polyclonal Antibody, Unconjugated (orb13479) at 1:400 overnight at 4°C, followed by operating according to SP Kit (Rabbit) instructionsand DAB staining.

Sample: Raji Cell Lysate at 30 ug, Primary: Anti-HRG beta1 (orb13479) at 1:300 dilution, Secondary: HRP conjugated Goat-Anti-Rabbit IgG (orb572747) at 1:5000 dilution, Predicted band size: 71 kD, Observed band size: 71 kD.

Tissue/Cell: rat brain tissue, 4% Paraformaldehyde-fixed and paraffin-embedded, Antigen retrieval: citrate buffer (0.01M, pH 6.0), Boiling bathing for 15 min, Block endogenous peroxidase by 3% Hydrogen peroxide for 30 min, Blocking buffer (normal goat serum) at 37°C for 20 min, Incubation: Anti-HRG beta1 Polyclonal Antibody, Unconjugated (orb13479) 1:200, overnight at 4°C, followed by conjugation to the secondary antibody and DAB staining.

Mouse ovary tissue, 4% Paraformaldehyde-fixed and paraffin-embedded, Antigen retrieval: citrate buffer (0.01M, pH 6.0), Boiling bathing for 15 min, Block endogenous peroxidase by 3% Hydrogen peroxide for 30 min, Blocking buffer (normal goat serum) at 37°C for 20 min, Incubation: Anti-HRG Beta1 Polyclonal Antibody, Unconjugated (orb13479) 1:200, overnight at 4°C, followed by conjugation to the secondary antibody and DAB staining.
Quick Database Links
Documents Download
Request a Document
Protocol Information
Pro-neuregulin-1, membrane-bound isoform Rabbit Polyclonal Antibody (orb13479)
Participating in our Biorbyt product reviews program enables you to support fellow scientists by sharing your firsthand experience with our products.
Login to Submit a Review















