You have no items in your shopping cart.
You have no items in your shopping cart.

| Catalog Number | orb528630 |
|---|---|
| Category | Tools |
| Description | PRC1 |
| Form/Appearance | 10 μg plasmid + 200μl Glycerol |
| UniProt ID | BC003138 |
| atgaggagaagtgaggtgctggcggaggagtccatagtatgtctgcagaaagccctaaatcaccttcgggaaatatgggagctaattgggattccagaggaccagcggttacaaagaactgaggtggtaaagaagcatatcaaggaactcctggatatgatgattgctgaagaggaaagcctgaaggaaagactcatcaaaagcatatccgtctgtcagaaagagctgaacactctgtgcagcgagttacatgttgagccatttcaggaagaaggagagacaaccatcttgcaactagaaaaagatttgcgcacccaagtggaattgatgcgaaaacagaaaaaggagagaaaacaggaactgaagctacttcaagagcaagatcaagaactgtgcgaaattctttgtatgccccactatgatattgacagtgcctcagtgcccagcttagaagagctgaaccagttcaggcaacatgtgacaactttgagggaaacaaaggcttctaggcgtgaggagtttgtcagtataaagagacagatcatactgtgtatggaagaattagaccacaccccagacacaagctttgaaagagatgtggtgtgtgaagacgaagatgccttttgtttgtctttggagaatattgcaacactacaaaagttgctacggcagctggaaatgcagaaatcacaaaatgaagcagtgtgtgaggggctgcgtactcaaatccgagagctctgggacaggttgcaaatacctgaagaagaaagagaagctgtggccaccattatgtctgggtcaaaggccaaggtccggaaagcgctgcaattagaagtggatcggttggaagaactgaaaatgcaaaacatgaagaaagtgattgaggcaattcgagtggagctggttcagtactgggaccagtgcttttatagccaggagcagagacaagcttttgcccctttctgtgctgaggactacacagaaagtctgctccagctccacgatgctgagattgtgcggttaaaaaactactatgaagttcacaaggaactctttgaaggtgtccagaagtgggaagaaacctggaggcttttcttagagtttgagagaaaagcttcagatccaaatcgatttacaaaccgaggaggaaatcttctaaaagaagaaaaacaacgagccaagctccagaaaatgctgcccaagctggaagaagagttgaaggcacgaattgaattgtgggaacaggaacattcaaaggcatttatggtgaatgggcagaaattcatggagtatgtggcagaacaatgggagatgcatcgattggagaaagagagagccaagcaggaaagacaactgaagaacaaaaaacagacagagacagagatgctgtatggcagcgctcctcgaacacctagcaagcggcgaggactggctcccaatacaccgggcaaagcacgtaagctgaacactaccaccatgtccaatgctacggccaatagtagcattcggcctatctttggagggacagtctaccactcccccgtgtctcgacttcctccttctggcagcaagccagtcgctgcttccacctgttcagggaagaaaacaccccgtactggcaggcatggagccaacaaggagaacctggagctcaacggcagcatcctgagtggtgggtaccctggctcggcccccctccagcgcaacttcagcattaattctgttgccagcacctattctgagtttgcgaaggatccgtccctctctgacagttccactgttgggcttcagcgagaactttcaaaggcttccaaatctgatgctacttctggaatcctcaattcaaccaacatccagtcctga | |
| DNA Notes | pENTR223.1 |
| Note | For research use only |
| Expiration Date | 12 months from date of receipt. |
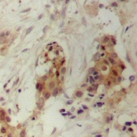
ELISA, WB | |
Human, Mouse, Rat | |
Polyclonal | |
Unconjugated |
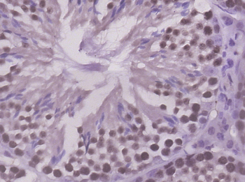
IF, IHC, WB | |
Human, Mouse, Rat | |
Rabbit | |
Polyclonal | |
Unconjugated |
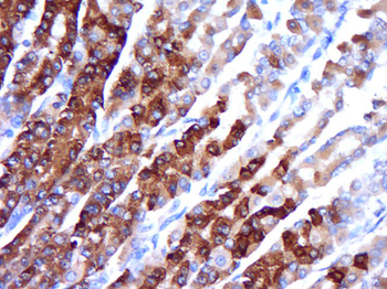
IF, IHC-Fr, IHC-P | |
Canine, Equine, Human | |
Mouse, Rat | |
Rabbit | |
Polyclonal | |
Unconjugated |
Participating in our Biorbyt product reviews program enables you to support fellow scientists by sharing your firsthand experience with our products.
Login to Submit a Review