You have no items in your shopping cart.
Description
Research Area
Images & Validation
−| Tested Applications | IHC, WB |
|---|---|
| Reactivity | Human |
| Predicted Reactivity | Bovine, Canine, Equine, Guinea pig, Mouse, Rabbit, Rat, Zebrafish |
Key Properties
−| Host | Rabbit |
|---|---|
| Clonality | Polyclonal |
| Immunogen | The immunogen is a synthetic peptide directed towards the middle region of human PPP1R8 |
| Target | PPP1R8 |
| Protein Sequence | Synthetic peptide located within the following region: PNLAPDVDLTPVVPSAVNMNPAPNPAVYNPEAVNEPKKKKYAKEAWPGKK |
| Molecular Weight | 14kDa |
| Purification | Protein A purified |
| Conjugation | Unconjugated |
Storage & Handling
−| Storage | Maintain refrigerated at 2-8°C for up to 2 weeks. For long term storage store at -20°C in small aliquots to prevent freeze-thaw cycles. |
|---|---|
| Buffer/Preservatives | Liquid. Purified antibody supplied in 1x PBS buffer with 0.09% (w/v) sodium azide and 2% sucrose. |
| Concentration | 1.0 mg/ml |
| Expiration Date | 12 months from date of receipt. |
| Disclaimer | For research use only |
Alternative Names
−Similar Products
−NIPP1 rabbit pAb Antibody [orb769582]
ELISA, WB
Human, Mouse, Rat
Polyclonal
Unconjugated
100 μl, 50 μlPPP1R8 Rabbit Polyclonal Antibody [orb577760]
IHC, WB
Bovine, Canine, Equine, Guinea pig, Mouse, Rabbit, Rat, Zebrafish
Human
Rabbit
Polyclonal
Unconjugated
100 μlPPP1R8 Rabbit Polyclonal Antibody [orb630151]
ELISA, IF, IHC, WB
Human, Mouse, Rat
Rabbit
Polyclonal
Unconjugated
50 μg, 100 μgNIPP1 Rabbit Polyclonal Antibody [orb6464]
WB
Bovine, Equine, Gallus, Guinea pig, Human, Porcine, Rabbit, Rat, Zebrafish
Mouse
Rabbit
Polyclonal
Unconjugated
50 μl, 100 μl, 200 μlPPP1R8 Rabbit Polyclonal Antibody [orb577761]
WB
Bovine, Canine, Equine, Guinea pig, Mouse, Rabbit, Rat, Zebrafish
Human
Rabbit
Polyclonal
Unconjugated
100 μl

Quality Guarantee
Explore bioreagents carefree to elevate your research. All our products are rigorously tested for performance. If a product does not perform as described on its datasheet, our scientific support team will provide expert troubleshooting, a prompt replacement, or a refund. For full details, please see our Terms & Conditions and Buying Guide. Contact us at [email protected].

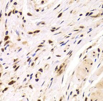
Rabbit Anti-PPP1R8 Antibody, Paraffin Embedded Tissue: Human Kidney, Cellular Data: Epithelial cells of renal tubule, Antibody Concentration: 4.0-8.0 ug/ml, Magnification: 400X.

WB Suggested Anti-PPP1R8 Antibody Titration: 2.5 ug/ml, ELISA Titer: 1:312500, Positive Control: Human Thymus.
Documents Download
Request a Document
Protocol Information
PPP1R8 Rabbit Polyclonal Antibody (orb577570)
Participating in our Biorbyt product reviews program enables you to support fellow scientists by sharing your firsthand experience with our products.
Login to Submit a Review






