You have no items in your shopping cart.
You have no items in your shopping cart.
| Catalog Number | orb1239207 |
|---|---|
| Category | Antibodies |
| Description | PLEKHM3 Antibody |
| Target | PLEKHM3 |
| Clonality | Polyclonal |
| Isotype | IgG |
| Conjugation | Unconjugated |
| Reactivity | Human, Mouse, Rat |
| Form/Appearance | Liquid |
| Concentration | 1 mg/mL |
| Buffer/Preservatives | PLEKHM3 Antibody is supplied in PBS containing 0.02% sodium azide. |
| Purification | PLEKHM3 Antibody is affinity chromatography purified via peptide column. |
| Immunogen | PLEKHM3 antibody was raised against a 13 amino acid synthetic peptide from near the carboxy terminus of human PLEKHM3.The immunogen is located within the last 50 amino acids of PLEKHM3. |
| UniProt ID | Q6ZWE6 |
| Tested applications | ELISA, IF, IHC-P, WB |
| Application notes | PLEKHM3 antibody can be used for detection of PLEKHM3 by Western blot at 1 - 2 μg/mL. Antibody can also be used for immunohistochemistry starting at 5 μg/mL. For immunofluorescence start at 20 μg/mL.Antibody validated: Western Blot in mouse samples; Immunohistochemistry in human samples and Immunofluorescence in human samples. All other applications and species not yet tested. |
| Antibody Type | Primary Antibody |
| Storage | Maintain refrigerated at 2-8°C for up to 2 weeks. For long term storage store at -20°C in small aliquots to prevent freeze-thaw cycles. |
| Alternative names | PLEKHM3 Antibody: DAPR, PLEKHM1L, Pleckstrin homol Read more... |
| Note | For research use only |
| NCBI | Q6ZWE6 |

Western blot analysis of PLEKHM3 in mouse skeletal muscle tissue lysate with PLEKHM3 antibody at (A) 1 and (B) 2 µg/mL.

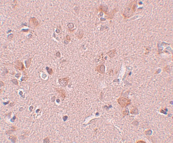
Immunohistochemistry of PLEKHM3 in human brain tissue with PLEKHM3 antibody at 5 µg/mL.

Immunofluorescence of PLKHM3 in human brain tissue with PLKHM3 antibody at 20 µg/mL.
IF | |
Canine, Equine, Human, Mouse, Rabbit, Rat | |
Rabbit | |
Polyclonal | |
PE |
ELISA, IF, IHC-Fr, IHC-P, WB | |
Canine, Equine, Human, Mouse, Rabbit, Rat | |
Human | |
Rabbit | |
Polyclonal | |
Unconjugated |
IF | |
Canine, Equine, Human, Mouse, Rabbit, Rat | |
Rabbit | |
Polyclonal | |
FITC |
ELISA, IF, IHC-Fr, IHC-P, WB | |
Canine, Equine, Human, Mouse, Rabbit, Rat | |
Rabbit | |
Polyclonal | |
Biotin |
IF | |
Canine, Equine, Human, Mouse, Rabbit, Rat | |
Rabbit | |
Polyclonal | |
Cy3 |
Participating in our Biorbyt product reviews program enables you to support fellow scientists by sharing your firsthand experience with our products.
Login to Submit a Review