You have no items in your shopping cart.
PLD4 Antibody
Description
Research Area
Images & Validation
−| Tested Applications | ELISA, IF, IHC, WB |
|---|---|
| Dilution Range | WB:1:500-1:5000, IHC-P:1:20-1:200, IF:1:50-1:200 |
| Reactivity | Human |
Key Properties
−| Host | Rabbit |
|---|---|
| Clonality | Polyclonal |
| Isotype | IgG |
| Immunogen | Recombinant Human Phospholipase D4 protein (52-506AA) |
| Target | PLD4 |
| Purification | >95%, Protein G purified |
| Conjugation | Unconjugated |
Storage & Handling
−| Storage | Maintain refrigerated at 2-8°C for up to 2 weeks. For long term storage store at -20°C in small aliquots to prevent freeze-thaw cycles. |
|---|---|
| Form/Appearance | Liquid |
| Buffer/Preservatives | Preservative: 0.03% Proclin 300. Constituents: 50% Glycerol |
| Expiration Date | 12 months from date of receipt. |
| Disclaimer | For research use only |
Alternative Names
−Similar Products
−PC-PLD4 rabbit pAb Antibody [orb767576]
IHC, WB
Human, Mouse, Rat
Polyclonal
Unconjugated
100 μl, 50 μlPLD4/Phospholipase D4 Antibody [orb1539281]
ELISA, IHC, IHC-P, WB
Human, Mouse, Rat
Rabbit
Polyclonal
Unconjugated
50 μlPLD4/Phospholipase D4 Antibody [orb1536294]
IHC, IHC-P, WB
Human, Mouse
Rabbit
Polyclonal
Unconjugated
50 μlPLD4 Rabbit Polyclonal Antibody [orb78324]
ELISA, IHC, WB
Mouse, Rat
Human
Rabbit
Polyclonal
Unconjugated
100 μg

Quality Guarantee
Explore bioreagents carefree to elevate your research. All our products are rigorously tested for performance. If a product does not perform as described on its datasheet, our scientific support team will provide expert troubleshooting, a prompt replacement, or a refund. For full details, please see our Terms & Conditions and Buying Guide. Contact us at [email protected].

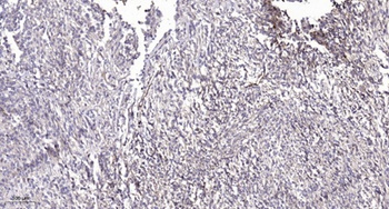
Immunohistochemistry of paraffin-embedded human skin tissue using PLD4 antibody

Western blot aanalysis of K562 whole cell lysate (Lane1), THP-1 whole cell lysate (Lane2), Human placenta tissue (Lane3)using PLD4 antibody

Immunofluorescent analysis of A549 cells using PLD4 antibody
Quick Database Links
UniProt Details
−Documents Download
Request a Document
Protocol Information
PLD4 Antibody (orb351293)
Participating in our Biorbyt product reviews program enables you to support fellow scientists by sharing your firsthand experience with our products.
Login to Submit a Review









