You have no items in your shopping cart.
You have no items in your shopping cart.
| Catalog Number | orb1262059 |
|---|---|
| Category | Antibodies |
| Description | PKHH2 Antibody |
| Target | PLEKHH2 |
| Clonality | Polyclonal |
| Isotype | Rabbit Ig |
| Conjugation | Unconjugated |
| Reactivity | Human |
| Form/Appearance | Liquid |
| Concentration | batch dependent |
| Buffer/Preservatives | Supplied in PBS with 0.09% (W/V) sodium azide. |
| Purification | This antibody is purified through a protein A column, followed by peptide affinity purification. |
| Immunogen | This PKHH2 antibody is generated from rabbits immunized with a KLH conjugated synthetic peptide between 1049-1079 amino acids from the C-terminal region of human PKHH2. |
| UniProt ID | Q8IVE3 |
| MW | 168 kDa |
| Tested applications | FC, IHC-P, WB |
| Application notes | For WB starting dilution is: 1:1000For IHC-P starting dilution is: 1:50~100For FACS starting dilution is: 1:10~50 |
| Antibody Type | Primary Antibody |
| Storage | Maintain refrigerated at 2-8°C for up to 2 weeks. For long term storage store at -20°C in small aliquots to prevent freeze-thaw cycles. |
| Alternative names | Pleckstrin homology domain-containing family H mem Read more... |
| Research Area | Cell Biology |
| Note | For research use only |
| NCBI | Q8IVE3 |

Western blot analysis of PKHH2 Antibody in Jurkat cell line lysates (35 ug/lane)

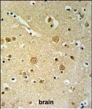
PKHH2 Antibody IHC analysis in formalin fixed and paraffin embedded brain tissue followed by peroxidase conjugation of the secondary antibody and DAB staining.

Flow cytometric analysis of Jurkat cells (right histogram) compared to a negative control cell (left histogram). FITC-conjugated goat-anti-rabbit secondary antibodies were used for the analysis.
Participating in our Biorbyt product reviews program enables you to support fellow scientists by sharing your firsthand experience with our products.
Login to Submit a Review