You have no items in your shopping cart.
PAX7 Rabbit Polyclonal Antibody
Description
Research Area
Images & Validation
−| Tested Applications | IHC, WB |
|---|---|
| Reactivity | Human, Mouse |
| Predicted Reactivity | Bovine, Canine, Guinea pig, Rabbit, Rat, Zebrafish |
Key Properties
−| Host | Rabbit |
|---|---|
| Clonality | Polyclonal |
| Immunogen | The immunogen is a synthetic peptide directed towards the N terminal region of human PAX7 |
| Target | PAX7 |
| Protein Sequence | Synthetic peptide located within the following region: KEEEDEADKKEDDGEKKAKHSIDGILGDKGNRLDEGSDVESEPDLPLKRK |
| Molecular Weight | 55 kDa |
| Purification | Affinity Purified |
| Conjugation | Unconjugated |
Storage & Handling
−| Storage | Maintain refrigerated at 2-8°C for up to 2 weeks. For long term storage store at -20°C in small aliquots to prevent freeze-thaw cycles. |
|---|---|
| Buffer/Preservatives | Liquid. Purified antibody supplied in 1x PBS buffer with 0.09% (w/v) sodium azide and 2% sucrose. |
| Concentration | 0.5 mg/ml |
| Expiration Date | 12 months from date of receipt. |
| Disclaimer | For research use only |
Alternative Names
−Similar Products
−Pax7 Rabbit Polyclonal Antibody [orb573703]
IF, WB
Bovine, Canine, Goat, Guinea pig, Rabbit, Zebrafish
Human, Mouse, Rat
Rabbit
Polyclonal
Unconjugated
100 μlPAX7 Rabbit Polyclonal Antibody [orb13640]
WB
Bovine, Equine, Gallus, Human, Porcine, Rabbit, Sheep
Mouse, Rat
Rabbit
Polyclonal
Unconjugated
50 μl, 100 μl, 200 μlPAX7 Rabbit Polyclonal Antibody [orb608072]
WB
Bovine, Equine, Gallus, Human, Porcine, Rabbit, Sheep
Mouse, Rat
Rabbit
Polyclonal
Unconjugated
50 μl, 100 μl, 200 μlPAX7 Rabbit Polyclonal Antibody [orb574035]
WB
Bovine, Canine, Equine, Guinea pig, Mouse, Rabbit, Rat, Zebrafish
Human
Rabbit
Polyclonal
Unconjugated
100 μlPAX7 Rabbit Polyclonal Antibody [orb629685]
ELISA, IHC, WB
Human, Rat
Rabbit
Polyclonal
Unconjugated
50 μg, 100 μg

Quality Guarantee
Explore bioreagents carefree to elevate your research. All our products are rigorously tested for performance. If a product does not perform as described on its datasheet, our scientific support team will provide expert troubleshooting, a prompt replacement, or a refund. For full details, please see our Terms & Conditions and Buying Guide. Contact us at [email protected].

25 ug of the indicated Human whole cell extracts was loaded onto a 12% SDS-PAGE gel. 0.5 ug/ml of the antibody was used in this experiment.

Sample Tissue: Human OVCAR-3 Whole Cell, Antibody dilution: 1 ug/ml.

Sample Type: Jurkat, Lane A: Primary Antibody, Lane B: Primary Antibody + Blocking Peptide, Primary Antibody Concentration: 0.0625 ug/ml, Peptide Concentration: 8.0 ug/ml, Lysate Quantity: 25 ug/lane, Gel Concentration: 12%.

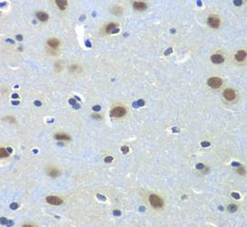
Immunohistochemistry with Human Skin lysate tissue at an antibody concentration of 5.0 ug/ml using anti-PAX7 antibody (orb574181).

Lanes: 1: Mouse skeletal muscle lysate, 2: Mouse skeletal muscle lysate, 3: Mouse skeletal muscle lysate, Primary Antibody dilution: 1:1000, Secondary Antibody: Anti-rabbit HRP, Secondary Antibody dilution: 1:10000, Gene Name: PAX7.

Rabbit Anti-PAX7 Antibody, Paraffin Embedded Tissue: Human Kidney, Cellular Data: Epithelial cells of renal tubule, Antibody Concentration: 4.0-8.0 ug/ml, Magnification: 400X.

WB Suggested Anti-PAX7 Antibody Titration: 0.05 ug/ml, Positive Control: Jurkat cell lysate.
Documents Download
Request a Document
Protocol Information
PAX7 Rabbit Polyclonal Antibody (orb574181)
Participating in our Biorbyt product reviews program enables you to support fellow scientists by sharing your firsthand experience with our products.
Login to Submit a Review












