You have no items in your shopping cart.
p19 INK4d Antibody
Description
Research Area
Images & Validation
−| Tested Applications | IHC |
|---|---|
| Dilution Range | IHC-P: 1:50-1:100, ELISA: 1:40000 |
| Reactivity | Human |
Key Properties
−| Host | Rabbit |
|---|---|
| Clonality | Polyclonal |
| Immunogen | Internal |
| Conjugation | Unconjugated |
Storage & Handling
−| Storage | Maintain refrigerated at 2-8°C for up to 2 weeks. For long term storage store at -20°C in small aliquots to prevent freeze-thaw cycles. |
|---|---|
| Concentration | 1mg/ml |
| Expiration Date | 12 months from date of receipt. |
| Disclaimer | For research use only |
Similar Products
−CDKN2D Rabbit Polyclonal Antibody [orb629592]
ELISA, IF, IHC, WB
Human, Mouse, Rat
Rabbit
Polyclonal
Unconjugated
50 μg, 100 μgp19 INK4d/CDKN2D Rabbit Polyclonal Antibody [orb1098024]
ELISA, FC, WB
Human
Rabbit
Polyclonal
Unconjugated
100 μgp19 INK4d Rabbit Polyclonal Antibody [orb665551]
IHC, WB
Human, Monkey
Rabbit
Polyclonal
Unconjugated
100 μl, 200 μl, 30 μl, 50 μl

Quality Guarantee
Explore bioreagents carefree to elevate your research. All our products are rigorously tested for performance. If a product does not perform as described on its datasheet, our scientific support team will provide expert troubleshooting, a prompt replacement, or a refund. For full details, please see our Terms & Conditions and Buying Guide. Contact us at [email protected].

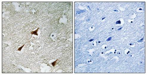
Immunohistochemical analysis of formalin-fixed and paraffin-embedded human brain tissue using p19 INK4d antibody
Quick Database Links
UniProt Details
−Documents Download
Request a Document
p19 INK4d Antibody (orb125556)
Participating in our Biorbyt product reviews program enables you to support fellow scientists by sharing your firsthand experience with our products.
Login to Submit a Review







