You have no items in your shopping cart.
OTUD1 Rabbit Polyclonal Antibody
Description
Research Area
Customer Validated Data
−Success by Application
Reactivity Distribution
Latest Experiments
7 ResultsImages & Validation
−| Tested Applications | IF, IHC-Fr, IHC-P, WB |
|---|---|
| Dilution Range | WB=1:500-2000, IHC-P=1:100-500, IHC-F=1:100-500, IF=1:100-500 |
| Reactivity | Human, Mouse, Rat |
| Predicted Reactivity | Bovine |
Related Conjugates & Formulations
−Key Properties
−| Antibody Type | Primary Antibody |
|---|---|
| Host | Rabbit |
| Clonality | Polyclonal |
| Isotype | IgG |
| Immunogen | KLH conjugated synthetic peptide derived from human OTUD1 (141-240/481aa) |
| Target | OTUD1 |
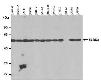
| Molecular Weight | 51 kDa |
| Purification | Affinity purified by Protein A |
| Conjugation | Unconjugated |
Storage & Handling
−| Storage | Maintain refrigerated at 2-8°C for up to 2 weeks. For long term storage store at -20°C in small aliquots to prevent freeze-thaw cycles. |
|---|---|
| Form/Appearance | Liquid |
| Buffer/Preservatives | 0.01M TBS (pH7.4) with 1% rAlbumin, 0.02% Proclin300 and 50% Glycerol. |
| Concentration | 1mg/ml |
| Expiration Date | 12 months from date of receipt. |
| Disclaimer | For research use only |
Alternative Names
−Similar Products
−OTUD1 Rabbit Polyclonal Antibody [orb587697]
WB
Bovine, Canine, Equine, Mouse, Rat
Human
Rabbit
Polyclonal
Unconjugated
100 μlOTUD1 Rabbit Polyclonal Antibody (HRP) [orb476994]
IHC-Fr, IHC-P, WB
Bovine
Human, Mouse, Rat
Rabbit
Polyclonal
HRP
100 μlOTUD1 Rabbit Polyclonal Antibody (Biotin) [orb450895]
IF, IHC-Fr, IHC-P, WB
Bovine
Human, Mouse, Rat
Rabbit
Polyclonal
Biotin
100 μlOTUD1 Rabbit Polyclonal Antibody [orb2951616]
ELISA, IHC, WB
Human
Rabbit
Polyclonal
Unconjugated
50 μg, 100 μg

Quality Guarantee
Explore bioreagents carefree to elevate your research. All our products are rigorously tested for performance. If a product does not perform as described on its datasheet, our scientific support team will provide expert troubleshooting, a prompt replacement, or a refund. For full details, please see our Terms & Conditions and Buying Guide. Contact us at [email protected].

Paraformaldehyde-fixed, paraffin embedded (Mouse testis), Antigen retrieval by boiling in sodium citrate buffer (pH6.0) for 15 min, Block endogenous peroxidase by 3% hydrogen peroxide for 20 minutes, Blocking buffer (normal goat serum) at 37°C for 30 min, Antibody incubation with (OTUD1) Polyclonal Antibody, Unconjugated (orb185712) at 1:500 overnight at 4°C, followed by a conjugated secondary for 20 minutes and DAB staining.

Paraformaldehyde-fixed, paraffin embedded (Rat brain), Antigen retrieval by boiling in sodium citrate buffer (pH6.0) for 15 min, Block endogenous peroxidase by 3% hydrogen peroxide for 20 minutes, Blocking buffer (normal goat serum) at 37°C for 30 min, Antibody incubation with (OTUD1) Polyclonal Antibody, Unconjugated (orb185712) at 1:400 overnight at 4°C, followed by operating according to SP Kit (Rabbit) instructionsand DAB staining.

Paraformaldehyde-fixed, paraffin embedded (rat testis tissue), Antigen retrieval by boiling in sodium citrate buffer (pH6.0) for 15 min, Block endogenous peroxidase by 3% hydrogen peroxide for 20 minutes, Blocking buffer (normal goat serum) at 37°C for 30 min, Antibody incubation with (OTUD1) Polyclonal Antibody, Unconjugated (orb185712) at 1:400 overnight at 4°C, followed by operating according to SP Kit (Rabbit) instructionsand DAB staining.

Sample: Lane 1: Human HeLa cell lysates, Lane 2: Human A431 cell lysates, Primary: Anti-OTUD1 (orb185712) at 1/1000 dilution, Secondary: IRDye800CW Goat Anti-Rabbit IgG at 1/20000 dilution, Predicted band size: 51 kDa, Observed band size: 60 kDa.
Quick Database Links
UniProt Details
−Documents Download
Request a Document
Protocol Information
Filter by Applications
Filter by Species
Weiwei Zhu # 1 2, Qianhui Zhang # 1, Leiming Jin # 1, Shuaijie Lou 1, Jiaxi Ye 1, Yaqian Cui 1, Yongqiang Xiong 2, Mengsha Lin 1, Guang Liang 3 4 5, Wu Luo 6 7, Zaishou Zhuang OTUD1 Deficiency Alleviates LPS-Induced Acute Lung Injury in Mice by Reducing Inflammatory Response Inflammation, (2024)
Meng-Yang Wang # 1 2 3, Tian-Xiang Yu # 1 2, Qin-Yan Wang 1 2, Xue Han 1 2, Xiang Hu 4, Shi-Ju Ye 2, Xiao-Hong Long 2, Yi Wang 2, Hong Zhu 4, Wu Luo 5, Guang Liang OTUD1 promotes hypertensive kidney fibrosis and injury by deubiquitinating CDK9 in renal epithelial cells Acta Pharmacol Sin, (2024)
Reactivity
Qinyan Wang 1, Shiqi Liang 1, Jinfu Qian 2, Jiachen Xu 2, Qingsong Zheng 3, Mengyang Wang 4, Xiaochen Guo 3, Julian Min 3, Gaojun Wu 2, Zaishou Zhuang 3, Wu Luo 5, Guang Liang OTUD1 promotes isoprenaline- and myocardial infarction-induced heart failure by targeting PDE5A in cardiomyocytes Biochim Biophys Acta Mol Basis Dis, (2024)
Reactivity
X Sun, T Wu, S Chen, Z Zhao, R Jia, J Ma, L Yin, X Pan, Y Ping, Y Mao, L Ma, Y Ma, W Luo… OTUD1 inhibits osteoclast differentiation and osteoclastic bone loss through deubiquitinating and stabilizing PRDX1 Theranostics,, (2025)
Applications
Reactivity
OTUD1 Rabbit Polyclonal Antibody (orb185712)
Participating in our Biorbyt product reviews program enables you to support fellow scientists by sharing your firsthand experience with our products.
Login to Submit a Review





