You have no items in your shopping cart.
You have no items in your shopping cart.
| Catalog Number | orb1239326 |
|---|---|
| Category | Antibodies |
| Description | OCC-1 Antibody |
| Target | C12orf75 |
| Clonality | Polyclonal |
| Isotype | IgG |
| Conjugation | Unconjugated |
| Reactivity | Human |
| Form/Appearance | Liquid |
| Concentration | 1 mg/mL |
| Buffer/Preservatives | OCC-1 Antibody is supplied in PBS containing 0.02% sodium azide. |
| Purification | OCC-1 Antibody is affinity chromatography purified via peptide column. |
| Immunogen | OCC-1 antibody was raised against a 16 amino acid synthetic peptide near the amino terminus of human OCC-1.The immunogen is located within amino acids 10 - 60 of OCC-1. |
| UniProt ID | Q8TAD7 |
| Tested applications | ELISA, IF, IHC-P, WB |
| Application notes | OCC-1 antibody can be used for detection of OCC-1 by Western blot at 2 μg/mL. In vitro transcription and translation of the OCC-1 cDNA yields polypeptides less than 9 kDa. Despite this, OCC-1 from cell lines is detected at ~28 kDa in SDS-PAGE. Antibody can also be used for immunohistochemistry starting at 2.5 μg/mL. For immunofluorescence start at 20 μg/mL.Antibody validated: Western Blot in human samples; Immunohistochemistry in human samples and Immunofluorescence in human samples. All other applications and species not yet tested. |
| Antibody Type | Primary Antibody |
| Storage | Maintain refrigerated at 2-8°C for up to 2 weeks. For long term storage store at -20°C in small aliquots to prevent freeze-thaw cycles. |
| Alternative names | OCC-1 Antibody: AGD3, OCC1, OCC-1, C12orf75, Overe Read more... |
| Research Area | Cancer Biology |
| Note | For research use only |
| NCBI | AAH61920 |

Western blot analysis of OCC-1 in human spleen tissue lysate with OCC-1 antibody at 2 µg/mL.

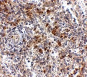
Immunohistochemistry of OCC-1 in human spleen tissue with OCC-1 antibody at 2.5 µg/mL.

Immunofluorescence of OCC-1 in human spleen tissue with OCC-1 antibody at 20 µg/mL.
Participating in our Biorbyt product reviews program enables you to support fellow scientists by sharing your firsthand experience with our products.
Login to Submit a Review