You have no items in your shopping cart.
Microcephalin 1/BRIT1 Rabbit Polyclonal Antibody
Description
Research Area
Images & Validation
−| Tested Applications | ELISA, ICC, IF, IHC-Fr, IHC-P |
|---|---|
| Dilution Range | IHC-P=1:100-500, IHC-F=1:100-500, ICC/IF=1:100-500, IF=1:100-500, ELISA=1:5000-10000 |
| Reactivity | Mouse |
| Predicted Reactivity | Canine, Human, Mouse |
Related Conjugates & Formulations
−Key Properties
−| Antibody Type | Primary Antibody |
|---|---|
| Host | Rabbit |
| Clonality | Polyclonal |
| Isotype | IgG |
| Immunogen | KLH conjugated synthetic peptide derived from human Microcephalin 1/BRIT1 (11-110/835aa) |
| Target | MCPH1 |
| Molecular Weight | 93 kDa |
| Purification | Affinity purified by Protein A |
| Conjugation | Unconjugated |
Storage & Handling
−| Storage | Maintain refrigerated at 2-8°C for up to 2 weeks. For long term storage store at -20°C in small aliquots to prevent freeze-thaw cycles. |
|---|---|
| Form/Appearance | Liquid |
| Buffer/Preservatives | 0.01M TBS (pH7.4) with 1% rAlbumin, 0.02% Proclin300 and 50% Glycerol. |
| Concentration | 1mg/ml |
| Expiration Date | 12 months from date of receipt. |
| Disclaimer | For research use only |
Alternative Names
−Similar Products
−Microcephalin 1/BRIT1 Polyclonal Antibody [orb1421203]
ELISA, ICC, IF, IHC-Fr, IHC-P, WB
Canine
Rabbit
Polyclonal
Unconjugated
100 μlMicrocephalin polyclonal antibody [orb645079]
IHC, WB
Human, Mouse, Rat
Rabbit
Polyclonal
Unconjugated
200 μl, 100 μl, 50 μlMicrocephalin 1/BRIT1 Rabbit Polyclonal Antibody (HRP) [orb482216]
ELISA, IHC-Fr, IHC-P
Canine, Human, Mouse
Mouse
Rabbit
Polyclonal
HRP
100 μlMicrocephalin 1/BRIT1 Rabbit Polyclonal Antibody (Biotin) [orb445133]
ELISA, ICC, IF, IHC-Fr, IHC-P
Canine, Human, Mouse
Mouse
Rabbit
Polyclonal
Biotin
100 μlMicrocephalin 1/BRIT1 Rabbit Polyclonal Antibody (PE-Cy7) [orb872384]
ICC, IF
Canine, Human, Mouse
Mouse
Rabbit
Polyclonal
PE/Cy7
100 μl

Quality Guarantee
Explore bioreagents carefree to elevate your research. All our products are rigorously tested for performance. If a product does not perform as described on its datasheet, our scientific support team will provide expert troubleshooting, a prompt replacement, or a refund. For full details, please see our Terms & Conditions and Buying Guide. Contact us at [email protected].

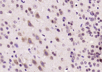
Paraformaldehyde-fixed, paraffin embedded (mouse brain), Antigen retrieval by boiling in sodium citrate buffer (pH6.0) for 15 min, Block endogenous peroxidase by 3% hydrogen peroxide for 20 minutes, Blocking buffer (normal goat serum) at 37°C for 30 min, Antibody incubation with (Microcephalin 1, BRIT1) Polyclonal Antibody, Unconjugated (orb157878) at 1:200 overnight at 4°C, followed by operating according to SP Kit (Rabbit) instructionsand DAB staining.
Quick Database Links
UniProt Details
−Documents Download
Request a Document
Protocol Information
Microcephalin 1/BRIT1 Rabbit Polyclonal Antibody (orb157878)
Participating in our Biorbyt product reviews program enables you to support fellow scientists by sharing your firsthand experience with our products.
Login to Submit a Review
