You have no items in your shopping cart.
METT5D1 Rabbit Polyclonal Antibody
Description
Research Area
Images & Validation
−| Tested Applications | WB |
|---|---|
| Reactivity | Human |
| Predicted Reactivity | Human |
Key Properties
−| Host | Rabbit |
|---|---|
| Clonality | Polyclonal |
| Immunogen | The immunogen is a synthetic peptide directed towards the n terminal region of human METT5D1 |
| Target | METTL15 |
| Protein Sequence | Synthetic peptide located within the following region: MLRYPYFCRMYKECLSCWLESGIPNLGVWPNRIHTTAEKYREYEAREQTD |
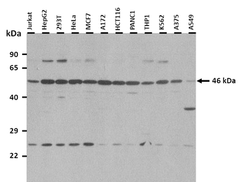
| Molecular Weight | 46 kDa |
| Purification | Affinity Purified |
| Conjugation | Unconjugated |
Storage & Handling
−| Storage | Maintain refrigerated at 2-8°C for up to 2 weeks. For long term storage store at -20°C in small aliquots to prevent freeze-thaw cycles. |
|---|---|
| Buffer/Preservatives | Liquid. Purified antibody supplied in 1x PBS buffer with 0.09% (w/v) sodium azide and 2% sucrose. |
| Concentration | 0.5 mg/ml |
| Expiration Date | 12 months from date of receipt. |
| Disclaimer | For research use only |
Alternative Names
−Similar Products
−METT5D1/METTL15 Rabbit Polyclonal Antibody (Fluoro647) [orb3092896]
FC
Human, Mouse, Rat
Rabbit
Polyclonal
Fluoro647
100 μgMETT5D1/METTL15 Rabbit Polyclonal Antibody (Fluoro594) [orb3092897]
FC
Human, Mouse, Rat
Rabbit
Polyclonal
Fluoro594
100 μg

Quality Guarantee
Explore bioreagents carefree to elevate your research. All our products are rigorously tested for performance. If a product does not perform as described on its datasheet, our scientific support team will provide expert troubleshooting, a prompt replacement, or a refund. For full details, please see our Terms & Conditions and Buying Guide. Contact us at [email protected].

25 ug of the indicated Human whole cell or tissue extracts was loaded onto a 12% SDS-PAGE gel. 3 ug/mL of the antibody was used in this experiment.

WB Suggested Anti-METT5D1 Antibody Titration: 0.2-1 ug/mL, ELISA Titer: 1:1562500, Positive Control: Human brain.
Quick Database Links
UniProt Details
−NCBI Reference Sequences
−| Protein | NP_001107000 |
|---|
Documents Download
Request a Document
METT5D1 Rabbit Polyclonal Antibody (orb325440)
Participating in our Biorbyt product reviews program enables you to support fellow scientists by sharing your firsthand experience with our products.
Login to Submit a Review