You have no items in your shopping cart.
You have no items in your shopping cart.
| Catalog Number | orb1259131 |
|---|---|
| Category | Antibodies |
| Description | MED25 Antibody |
| Target | MED25 |
| Clonality | Polyclonal |
| Isotype | IgG |
| Conjugation | Unconjugated |
| Reactivity | Human, Mouse, Rat |
| Form/Appearance | Liquid |
| Concentration | batch dependent |
| Buffer/Preservatives | Liquid |
| Purification | Affinity purification |
| Immunogen | Recombinant fusion protein containing a sequence corresponding to amino acids 30-200 of human MED25 (NP_112235.2). |
| UniProt ID | Q71SY5 |
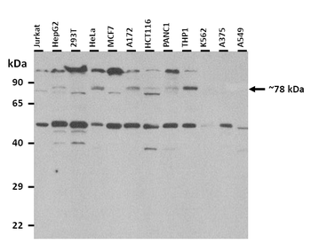
| MW | Observed: 78kDa |
| Tested applications | IF, WB |
| Application notes | WB: 1:500 - 1:2000IF: 1:50 - 1:200 |
| Antibody Type | Primary Antibody |
| Storage | Maintain refrigerated at 2-8°C for up to 2 weeks. For long term storage store at -20°C in small aliquots to prevent freeze-thaw cycles. |
| Alternative names | Mediator of RNA polymerase II transcription subuni Read more... |
| Note | For research use only |

Western blot analysis of extracts of various cell lines, using MED25 antibody (orb1259131) at 1:1000 dilution. Secondary antibody: HRP Goat Anti-Rabbit IgG (H+L) at 1:10000 dilution. Lysates/proteins: 25 ug per lane. Blocking buffer: 3% nonfat dry milk in TBST. Detection: ECL Basic Kit. Exposure time: 5s.

Immunofluorescence analysis of U-2 OS cells using MED25 Polyclonal Antibody (orb1259131) at dilution of 1:100 (40x lens). Blue: DAPI for nuclear staining.
ELISA, FC, ICC, IF, IHC, WB | |
Human, Mouse, Rat | |
Rabbit | |
Polyclonal | |
Unconjugated |
IHC-P, WB | |
Bovine | |
Human, Mouse | |
Rabbit | |
Polyclonal | |
Unconjugated |
ChIP, WB | |
Bovine, Canine, Guinea pig, Mouse, Porcine, Rat, Zebrafish | |
Human | |
Rabbit | |
Polyclonal | |
Unconjugated |
Participating in our Biorbyt product reviews program enables you to support fellow scientists by sharing your firsthand experience with our products.
Login to Submit a Review