You have no items in your shopping cart.
LYRM1 Antibody
Description
Research Area
Images & Validation
−| Tested Applications | ELISA, IF, IHC-P, WB |
|---|---|
| Reactivity | Human, Mouse, Rat |
| Application Notes |
Key Properties
−| Antibody Type | Primary Antibody |
|---|---|
| Host | Rabbit |
| Clonality | Polyclonal |
| Isotype | IgG |
| Immunogen | LYRM1 antibody was raised against a 17 amino acid synthetic peptide near the center of human LYRM1.The immunogen is located within the first 50 amino acids of LYRM1. |
| Target | LYRM1 |
| Purification | LYRM1 Antibody is affinity chromatography purified via peptide column. |
| Conjugation | Unconjugated |
Storage & Handling
−| Storage | Maintain refrigerated at 2-8°C for up to 2 weeks. For long term storage store at -20°C in small aliquots to prevent freeze-thaw cycles. |
|---|---|
| Form/Appearance | Liquid |
| Buffer/Preservatives | LYRM1 Antibody is supplied in PBS containing 0.02% sodium azide. |
| Concentration | 1 mg/mL |
| Expiration Date | 12 months from date of receipt. |
| Disclaimer | For research use only |
Alternative Names
−Similar Products
−LYRM1 Rabbit Polyclonal Antibody [orb583556]
WB
Bovine, Canine, Equine, Goat, Guinea pig, Mouse, Rabbit, Rat
Human
Rabbit
Polyclonal
Unconjugated
100 μl

Quality Guarantee
Explore bioreagents carefree to elevate your research. All our products are rigorously tested for performance. If a product does not perform as described on its datasheet, our scientific support team will provide expert troubleshooting, a prompt replacement, or a refund. For full details, please see our Terms & Conditions and Buying Guide. Contact us at [email protected].

Western blot analysis of LYRM1 in human liver tissue lysate with LYRM1 antibody at (A) 1 and (B) 2 µg/mL.

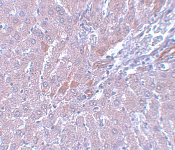
Immunohistochemistry of LYRM1 in rat liver tissue with LYRM1 antibody at 5 µg/mL.

Immunofluorescence of LYRM1 in rat liver tissue with LYRM1 antibody at 20 µg/mL.
Documents Download
Request a Document
Protocol Information
LYRM1 Antibody (orb1239491)
Participating in our Biorbyt product reviews program enables you to support fellow scientists by sharing your firsthand experience with our products.
Login to Submit a Review



