You have no items in your shopping cart.
LDB3 Antibody
Description
Research Area
Images & Validation
−| Tested Applications | ELISA, IHC, WB |
|---|---|
| Dilution range | WB:1:1000-5000, IHC-P:1:20-200 |
| Reactivity | Human |
Key Properties
−| Host | Rabbit |
|---|---|
| Clonality | Polyclonal |
| Isotype | IgG |
| Immunogen | Recombinant Human LIM domain-binding protein 3 protein (1-283AA) |
| Target | LDB3 |
| Purification | Antigen Affinity Purified |
| Conjugation | Unconjugated |
Storage & Handling
−| Storage | Maintain refrigerated at 2-8°C for up to 2 weeks. For long term storage store at -20°C in small aliquots to prevent freeze-thaw cycles. |
|---|---|
| Form/Appearance | Liquid |
| Buffer/Preservatives | PBS with 0.02% sodium azide, 50% glycerol, pH7.3. |
| Disclaimer | For research use only |
Alternative Names
−Similar Products
−ZASP/ CYPHER/LDB3 Antibody [orb19099]
ELISA, IHC, WB
Canine, Mouse, Porcine, Rat
Human
Goat
Polyclonal
Unconjugated
100 μg

Quality Guarantee
Explore bioreagents carefree to elevate your research. All our products are rigorously tested for performance. If a product does not perform as described on its datasheet, our scientific support team will provide expert troubleshooting, a prompt replacement, or a refund. For full details, please see our Terms & Conditions and Buying Guide. Contact us at [email protected].

Western blot analysis of Raji(lane 1), MCF7(lane 2), A431(lane 3) whole cell lysate using LDB3 antibody

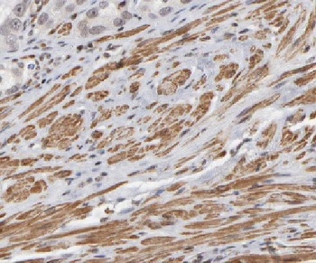
Immunohistochemical staining of human skeletal muscle tissue using LDB3 antibody
Quick Database Links
UniProt Details
−Documents Download
Request a Document
Protocol Information
LDB3 Antibody (orb41477)
Participating in our Biorbyt product reviews program enables you to support fellow scientists by sharing your firsthand experience with our products.
Login to Submit a Review










