You have no items in your shopping cart.
KLHL18 Rabbit Polyclonal Antibody
Description
Images & Validation
−| Tested Applications | ELISA, IF, IHC, WB |
|---|---|
| Dilution Range | WB: 1:500-1:2000; IHC: 1:20-1:200; IF: 1:20-1:200 |
| Reactivity | Human, Mouse, Rat |
Key Properties
−| Antibody Type | Primary Antibody |
|---|---|
| Host | Rabbit |
| Clonality | Polyclonal |
| Isotype | IgG |
| Immunogen | kelch-like 18(Drosophila) |
| Target | KLHL18 |
| Molecular Weight | 63kd,56kd |
| Purity | ≥95% as determined by SDS-PAGE |
| Purification | Immunogen affinity purified |
| Conjugation | Unconjugated |
Storage & Handling
−| Storage | Maintain refrigerated at 2-8°C for up to 2 weeks. For long term storage store at -20°C in small aliquots to prevent freeze-thaw cycles. |
|---|---|
| Form/Appearance | liquid |
| Expiration Date | 12 months from date of receipt. |
| Disclaimer | For research use only |
Alternative Names
−Similar Products
−KLHL18 Rabbit Polyclonal Antibody [orb184515]
IF, IHC-Fr, IHC-P, WB
Equine, Mouse
Human, Rat
Rabbit
Polyclonal
Unconjugated
50 μl, 100 μl, 200 μlKLHL18 Rabbit Polyclonal Antibody (HRP) [orb472341]
IHC-Fr, IHC-P, WB
Equine, Mouse
Human, Rat
Rabbit
Polyclonal
HRP
100 μlKLHL18 Rabbit Polyclonal Antibody (PE) [orb488213]
IF
Equine, Mouse
Human, Rat
Rabbit
Polyclonal
PE
100 μlKLHL18 Rabbit Polyclonal Antibody (FITC) [orb188828]
IF
Equine, Mouse
Human, Rat
Rabbit
Polyclonal
FITC
100 μl

Quality Guarantee
Explore bioreagents carefree to elevate your research. All our products are rigorously tested for performance. If a product does not perform as described on its datasheet, our scientific support team will provide expert troubleshooting, a prompt replacement, or a refund. For full details, please see our Terms & Conditions and Buying Guide. Contact us at [email protected].

HepG2 cells were subjected to SDS PAGE followed by western blot with orb628308 (KLHL18 antibody) at dilution of 1:600.

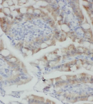
Immunohistochemistry of paraffin-embedded human colon using orb628308 (KLHL18 antibody) at dilution of 1:100.
Quick Database Links
UniProt Details
−Documents Download
Request a Document
Protocol Information
KLHL18 Rabbit Polyclonal Antibody (orb628308)
Participating in our Biorbyt product reviews program enables you to support fellow scientists by sharing your firsthand experience with our products.
Login to Submit a Review



