You have no items in your shopping cart.
Description
Research Area
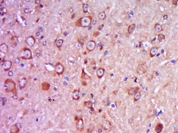
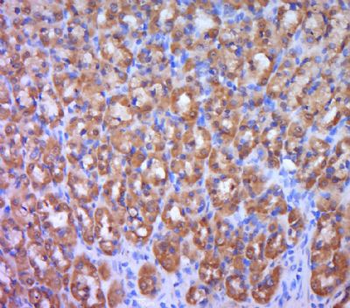
Images & Validation
−| Tested Applications | ELISA, IF, WB |
|---|---|
| Dilution Range | WB:1:2000-10000, IF:1:50-200 |
| Reactivity | Human |
Key Properties
−| Host | Rabbit |
|---|---|
| Clonality | Polyclonal |
| Isotype | IgG |
| Immunogen | Recombinant Human Intersectin-2 protein (940-1209AA) |
| Target | ITSN2 |
| Purification | >95%, Protein G purified |
| Conjugation | Unconjugated |
Storage & Handling
−| Storage | Maintain refrigerated at 2-8°C for up to 2 weeks. For long term storage store at -20°C in small aliquots to prevent freeze-thaw cycles. |
|---|---|
| Form/Appearance | Liquid |
| Buffer/Preservatives | Preservative: 0.03% Proclin 300. Constituents: 50% Glycerol |
| Expiration Date | 12 months from date of receipt. |
| Disclaimer | For research use only |
Alternative Names
−Similar Products
−ITSN2 Rabbit Polyclonal Antibody [orb500652]
IF, IHC-Fr, IHC-P
Human
Mouse, Rat
Rabbit
Polyclonal
Unconjugated
100 μl, 50 μl, 200 μlITSN2 Rabbit Polyclonal Antibody [orb667031]
IF, WB
Human, Mouse, Rat
Rabbit
Polyclonal
Unconjugated
50 μl, 100 μl, 200 μl, 30 μlITSN2 Rabbit Polyclonal Antibody [orb326543]
WB
Bovine, Canine, Equine, Mouse, Porcine, Rabbit, Rat
Human
Rabbit
Polyclonal
Unconjugated
100 μlIntersectin 2 Polyclonal Antibody [orb1417643]
ELISA, ICC, IF, IHC-Fr, IHC-P
Rat
Rabbit
Polyclonal
Unconjugated
100 μlITSN2 polyclonal antibody [orb648466]
IF, WB
Human, Mouse, Rat
Rabbit
Polyclonal
Unconjugated
200 μl, 100 μl, 50 μl

Quality Guarantee
Explore bioreagents carefree to elevate your research. All our products are rigorously tested for performance. If a product does not perform as described on its datasheet, our scientific support team will provide expert troubleshooting, a prompt replacement, or a refund. For full details, please see our Terms & Conditions and Buying Guide. Contact us at [email protected].

Western blot analysis of Hela(lane 1), HEK293(lane 2) whole cell lysate using ITSN2 antibody

Immunofluorescence analysis of HepG2 cells using ITSN2 antibody
Quick Database Links
UniProt Details
−Documents Download
Request a Document
Protocol Information
ITSN2 Antibody (orb47191)
Participating in our Biorbyt product reviews program enables you to support fellow scientists by sharing your firsthand experience with our products.
Login to Submit a Review






