You have no items in your shopping cart.
IL16 Antibody
Description
Images & Validation
−| Tested Applications | ELISA, IF, IHC-P, WB |
|---|---|
| Reactivity | Human, Mouse, Rat |
| Application Notes |
Key Properties
−| Antibody Type | Primary Antibody |
|---|---|
| Host | Rabbit |
| Clonality | Polyclonal |
| Isotype | IgG |
| Immunogen | IL-16 antibody was raised against a 20 amino acid synthetic peptide near the amino terminus of human IL-16.The immunogen is located within the first 50 amino acids of IL-16. |
| Target | IL16 |
| Purification | IL-16 Antibody is affinity chromatography purified via peptide column. |
| Conjugation | Unconjugated |
Storage & Handling
−| Storage | Maintain refrigerated at 2-8°C for up to 2 weeks. For long term storage store at -20°C in small aliquots to prevent freeze-thaw cycles. |
|---|---|
| Form/Appearance | Liquid |
| Buffer/Preservatives | IL-16 Antibody is supplied in PBS containing 0.02% sodium azide. |
| Concentration | 1 mg/mL |
| Disclaimer | For research use only |
Alternative Names
−Similar Products
−
Quality Guarantee
Explore bioreagents carefree to elevate your research. All our products are rigorously tested for performance. If a product does not perform as described on its datasheet, our scientific support team will provide expert troubleshooting, a prompt replacement, or a refund. For full details, please see our Terms & Conditions and Buying Guide. Contact us at [email protected].

Western blot analysis of IL-16 in rat brain tissue lysate with IL-16 antibody at (A) 1 µg/ml and (B) 2 µg/mL.

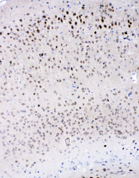
Immunohistochemistry of IL-16 in mouse brain tissue with IL-16 antibody at 2.5 µg/mL.

Immunofluorescence of IL-16 in mouse brain tissue with IL-16 antibody at 20 µg/mL.
Documents Download
Request a Document
Protocol Information
IL16 Antibody (orb1239680)
Participating in our Biorbyt product reviews program enables you to support fellow scientists by sharing your firsthand experience with our products.
Login to Submit a Review










