You have no items in your shopping cart.
GRHL3 Rabbit Polyclonal Antibody
Description
Research Area
Images & Validation
−| Tested Applications | ChIP, IHC, WB |
|---|---|
| Reactivity | Human |
| Predicted Reactivity | Bovine, Canine, Equine, Guinea pig, Mouse, Porcine, Rabbit, Rat |
Key Properties
−| Host | Rabbit |
|---|---|
| Clonality | Polyclonal |
| Immunogen | The immunogen is a synthetic peptide directed towards the C terminal region of human GRHL3 |
| Target | GRHL3 |
| Protein Sequence | Synthetic peptide located within the following region: EEVFDALMLKTPDLKGLRNAISEKYGFPEENIYKVYKKCKRGILVNMDNN |
| Molecular Weight | 57 kDa, 70 kDa |
| Purification | Affinity Purified |
| Conjugation | Unconjugated |
Storage & Handling
−| Storage | Maintain refrigerated at 2-8°C for up to 2 weeks. For long term storage store at -20°C in small aliquots to prevent freeze-thaw cycles. |
|---|---|
| Buffer/Preservatives | Liquid. Purified antibody supplied in 1x PBS buffer with 0.09% (w/v) sodium azide and 2% sucrose. |
| Concentration | 0.5 mg/ml |
| Expiration Date | 12 months from date of receipt. |
| Disclaimer | For research use only |
Alternative Names
−Similar Products
−GRHL3 Rabbit Polyclonal Antibody [orb577145]
IHC, WB
Bovine, Canine, Equine, Guinea pig, Mouse, Porcine, Rabbit, Rat
Human
Rabbit
Polyclonal
Unconjugated
100 μlGRHL3 Rabbit Polyclonal Antibody [orb574551]
ChIP, IHC, WB
Bovine, Canine, Equine, Guinea pig, Mouse, Rabbit, Rat
Human
Rabbit
Polyclonal
Unconjugated
100 μlGRHL3 Rabbit Polyclonal Antibody [orb1880304]
WB
Human
Rabbit
Polyclonal
Unconjugated
50 μl, 200 μl, 100 μl, 30 μlGRHL3 Rabbit Polyclonal Antibody (Biotin) [orb2137489]
WB
Bovine, Canine, Equine, Guinea pig, Human, Mouse, Rabbit, Rat
Rabbit
Polyclonal
Biotin
100 μlGRHL3 Rabbit Polyclonal Antibody (HRP) [orb2137491]
WB
Bovine, Canine, Equine, Guinea pig, Human, Mouse, Rabbit, Rat
Rabbit
Polyclonal
HRP
100 μl

Quality Guarantee
Explore bioreagents carefree to elevate your research. All our products are rigorously tested for performance. If a product does not perform as described on its datasheet, our scientific support team will provide expert troubleshooting, a prompt replacement, or a refund. For full details, please see our Terms & Conditions and Buying Guide. Contact us at [email protected].

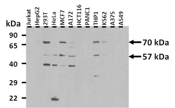
25 ug of the indicated Human whole cell extracts was loaded onto a 12% SDS-PAGE gel. 0.5 ug/ml of the antibody was used in this experiment. Several isoforms can be detected using this antibody including isoform 1 (70 kDa) and isoform 4 (57 kDa).

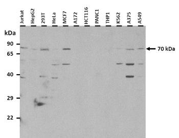
25 ug of the indicated whole cell extracts was loaded onto a 12% SDS-PAGE gel. 3 ug/ml of the antibody was used in this experiment. Recommended dilution for antibody is 1-3 ug/ml.

Immunohistochemistry of formalin-fixed, paraffin-embedded Human Placenta tissue after heat-induced antigen retrieval. Antibody concentration 5 ug/ml.

WB Suggested Anti-GRHL3 Antibody Titration: 0.2-1 ug/ml, ELISA Titer: 1:1562500, Positive Control: Jurkat cell lysate.
Documents Download
Request a Document
Protocol Information
GRHL3 Rabbit Polyclonal Antibody (orb577144)
Participating in our Biorbyt product reviews program enables you to support fellow scientists by sharing your firsthand experience with our products.
Login to Submit a Review





