You have no items in your shopping cart.
GLUT1 Rabbit Polyclonal Antibody
Description
Research Area
Images & Validation
−| Tested Applications | FC, IF, IHC-Fr, IHC-P, WB |
|---|---|
| Dilution Range | WB=1:500-2000, IHC-P=1:100-500, IHC-F=1:100-500, IF=1:100-500, Flow-Cyt=1μg/Test |
| Reactivity | Human, Mouse, Rat |
| Predicted Reactivity | Bovine, Canine, Gallus, Porcine, Sheep |
Related Conjugates & Formulations
−Key Properties
−| Antibody Type | Primary Antibody |
|---|---|
| Host | Rabbit |
| Clonality | Polyclonal |
| Isotype | IgG |
| Immunogen | KLH conjugated synthetic peptide derived from human GLUT1 (191-270/492aa) |
| Target | SLC2A1 |
| Molecular Weight | 54 kDa |
| Purification | Affinity purified by Protein A |
| Conjugation | Unconjugated |
Storage & Handling
−| Storage | Maintain refrigerated at 2-8°C for up to 2 weeks. For long term storage store at -20°C in small aliquots to prevent freeze-thaw cycles. |
|---|---|
| Form/Appearance | Liquid |
| Buffer/Preservatives | 0.01M TBS (pH7.4) with 1% rAlbumin, 0.02% Proclin300 and 50% Glycerol. |
| Concentration | 1mg/ml |
| Expiration Date | 12 months from date of receipt. |
| Disclaimer | For research use only |
Alternative Names
−Similar Products
−Glucose Transporter GLUT1/SLC2A1 Rabbit Polyclonal Antibody [orb259612]
FC, ICC, IF, IHC, IHC-Fr, WB
Human, Mouse, Rat
Rabbit
Polyclonal
Unconjugated
100 μgGlut1 Polyclonal Antibody [orb1413600]
IF, IHC-P, WB
Human, Mouse, Rat
Rabbit
Polyclonal
Unconjugated
100 μlGLUT1 Rabbit Polyclonal Antibody [orb157188]
WB
Bovine, Canine, Gallus, Guinea pig, Human, Porcine, Rabbit, Rat, Sheep
Mouse
Rabbit
Polyclonal
Unconjugated
50 μl, 100 μl, 200 μlGLUT1 Rabbit Polyclonal Antibody [orb312259]
IF, IHC-Fr, IHC-P
Bovine, Canine, Human, Mouse, Porcine, Sheep
Rat
Rabbit
Polyclonal
Unconjugated
50 μl, 100 μl, 200 μl

Quality Guarantee
Explore bioreagents carefree to elevate your research. All our products are rigorously tested for performance. If a product does not perform as described on its datasheet, our scientific support team will provide expert troubleshooting, a prompt replacement, or a refund. For full details, please see our Terms & Conditions and Buying Guide. Contact us at [email protected].

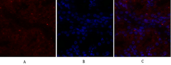
Mouse splenocytes stained with Rabbit Anti-GLUT1 Polyclonal Antibody, PE conjugated at 1:50.

Sample: Lane 1: Heart (Mouse) Lysate at 40 ug, Lane 2: Cerebrum (Mouse) Lysate at 40 ug, Lane 3: Muscle (Mouse) Lysate at 40 ug, Lane 4: Cerebrum (Rat) Lysate at 40 ug, Primary: Anti-GLUT1 (orb10725) at 1/1000 dilution, Secondary: IRDye800CW Goat Anti-Rabbit IgG at 1/20000 dilution, Predicted band size: 54 kD, Observed band size: 52 kD.

Tissue/Cell: human kidney tissue, 4% Paraformaldehyde-fixed and paraffin-embedded, Antigen retrieval: citrate buffer (0.01M, pH6.0), Boiling bathing for 15 min, Block endogenous peroxidase by 3% Hydrogen peroxide for 30 min, Blocking buffer (normal goat serum) at 37°C for 20 min, Incubation: Anti-GLUT1 Polyclonal Antibody, Unconjugated (orb10725) 1:400, overnight at 4°C, followed by conjugation to the secondary antibody and DAB staining.
Quick Database Links
UniProt Details
−Documents Download
Request a Document
Protocol Information
Filter by Species
Srijon K Banerjee 1, Lance R Thurlow 2, Kartik Kannan 1, Anthony R Richardson Glucose transporter 1 is essential for the resolution of methicillin-resistant S. aureus skin and soft tissue infections Cell Rep, (2024)
Reactivity
GLUT1 Rabbit Polyclonal Antibody (orb10725)
Participating in our Biorbyt product reviews program enables you to support fellow scientists by sharing your firsthand experience with our products.
Login to Submit a Review

























