You have no items in your shopping cart.
Gastrin Rabbit Polyclonal Antibody
Description
Research Area
Images & Validation
−| Tested Applications | IF, IHC-Fr, IHC-P |
|---|---|
| Dilution Range | IHC-P=1:100-500, IHC-F=1:100-500, IF=1:100-500 |
| Reactivity | Rat |
| Predicted Reactivity | Human, Mouse, Porcine, Rabbit |
Related Conjugates & Formulations
−Key Properties
−| Antibody Type | Primary Antibody |
|---|---|
| Host | Rabbit |
| Clonality | Polyclonal |
| Isotype | IgG |
| Immunogen | KLH conjugated synthetic peptide derived from human Gastrin (77-92/101aa) |
| Target | GAST |
| Molecular Weight | 2.1/3.9/6/8 kDa |
| Purification | Affinity purified by Protein A |
| Conjugation | Unconjugated |
Storage & Handling
−| Storage | Maintain refrigerated at 2-8°C for up to 2 weeks. For long term storage store at -20°C in small aliquots to prevent freeze-thaw cycles. |
|---|---|
| Form/Appearance | Liquid |
| Buffer/Preservatives | 0.01M TBS (pH7.4) with 1% rAlbumin, 0.02% Proclin300 and 50% Glycerol. |
| Concentration | 1mg/ml |
| Expiration Date | 12 months from date of receipt. |
| Disclaimer | For research use only |
Alternative Names
−Similar Products
−CCKBR Rabbit Polyclonal Antibody [orb13418]
IF, IHC-Fr, IHC-P, WB
Bovine, Human, Rabbit
Mouse, Rat
Rabbit
Polyclonal
Unconjugated
100 μl, 200 μl, 50 μlGastrin rabbit pAb Antibody [orb768285]
ELISA, IF, IHC, WB
Human, Mouse, Rat
Polyclonal
Unconjugated
100 μl, 50 μlHADHA Antibody (C-term) [Knockout Validated] [orb1787819]
FC, IHC-P, WB
Human
Rabbit
Polyclonal
Unconjugated
100 μlGastrin/GAST Rabbit Polyclonal Antibody [orb1097995]
FC, WB
Human, Rat
Rabbit
Polyclonal
Unconjugated
100 μg

Quality Guarantee
Explore bioreagents carefree to elevate your research. All our products are rigorously tested for performance. If a product does not perform as described on its datasheet, our scientific support team will provide expert troubleshooting, a prompt replacement, or a refund. For full details, please see our Terms & Conditions and Buying Guide. Contact us at [email protected].

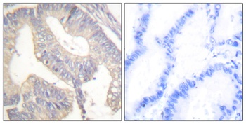
Paraformaldehyde-fixed, paraffin embedded (rat stomach), Antigen retrieval by boiling in sodium citrate buffer (pH6.0) for 15 min, Block endogenous peroxidase by 3% hydrogen peroxide for 20 minutes, Blocking buffer (normal goat serum) at 37°C for 30 min, Antibody incubation with (Gastrin) Polyclonal Antibody, Unconjugated (orb10698) at 1:200 overnight at 4°C, followed by a conjugated secondary for 20 minutes and DAB staining.
Quick Database Links
UniProt Details
−Documents Download
Request a Document
Protocol Information
Gastrin Rabbit Polyclonal Antibody (orb10698)
Participating in our Biorbyt product reviews program enables you to support fellow scientists by sharing your firsthand experience with our products.
Login to Submit a Review





![HADHA Antibody (C-term) [Knockout Validated]](/images/pub/media/catalog/product/NewWebsite/1/orb1787819_1.png)
![HADHA Antibody (C-term) [Knockout Validated]](/images/pub/media/catalog/product/NewWebsite/1/orb1787819_2.png)
![HADHA Antibody (C-term) [Knockout Validated]](/images/pub/media/catalog/product/NewWebsite/1/orb1787819_3.png)
![HADHA Antibody (C-term) [Knockout Validated]](/images/pub/media/catalog/product/NewWebsite/1/orb1787819_4.png)
![HADHA Antibody (C-term) [Knockout Validated]](/images/pub/media/catalog/product/NewWebsite/1/orb1787819_5.png)





