You have no items in your shopping cart.
FOXN1 Antibody
Description
Research Area
Images & Validation
−| Tested Applications | ELISA, IHC, WB |
|---|---|
| Dilution Range | WB:1:500-5000, IHC-P:1:20-200 |
| Reactivity | Human, Mouse |
Key Properties
−| Host | Rabbit |
|---|---|
| Clonality | Polyclonal |
| Isotype | IgG |
| Immunogen | Recombinant Human Forkhead box protein N1 protein (1-160AA) |
| Target | FOXN1 |
| Purification | >95%, Protein G purified |
| Conjugation | Unconjugated |
Storage & Handling
−| Storage | Maintain refrigerated at 2-8°C for up to 2 weeks. For long term storage store at -20°C in small aliquots to prevent freeze-thaw cycles. |
|---|---|
| Form/Appearance | Liquid |
| Buffer/Preservatives | Preservative: 0.03% Proclin 300. Constituents: 50% Glycerol |
| Expiration Date | 12 months from date of receipt. |
| Disclaimer | For research use only |
Alternative Names
−Similar Products
−FOXN1 Rabbit Polyclonal Antibody [orb1869]
FC, IF, IHC-Fr, IHC-P, WB
Bovine, Canine, Equine, Gallus, Porcine, Rabbit
Human, Mouse, Rat
Rabbit
Polyclonal
Unconjugated
200 μl, 50 μl, 100 μlFOXN1 Antibody (Center) [orb1937763]
FC, WB
Mouse
Human, Mouse
Rabbit
Polyclonal
Unconjugated
100 μl, 50 μl

Quality Guarantee
Explore bioreagents carefree to elevate your research. All our products are rigorously tested for performance. If a product does not perform as described on its datasheet, our scientific support team will provide expert troubleshooting, a prompt replacement, or a refund. For full details, please see our Terms & Conditions and Buying Guide. Contact us at [email protected].

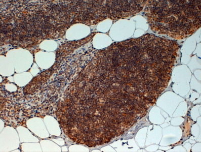
Immunohistochemical staining of human thyroid tissue using FOXN1 antibody

Immunohistochemical staining of human cervical cancer using FOXN1 antibody

Western blot analysis of Raji whole cell lysate(lane 1), Jurkat whole cell lysate(lane 2), NIH/3T3 whole cell lysate(lane 3), Mouse lung tissue(lane 4), Mouse stomach tissue(lane 5), Rat thymus tissue(lane 6) using FOXN1 antibody
Quick Database Links
UniProt Details
−Documents Download
Request a Document
Protocol Information
FOXN1 Antibody (orb48208)
Participating in our Biorbyt product reviews program enables you to support fellow scientists by sharing your firsthand experience with our products.
Login to Submit a Review











