You have no items in your shopping cart.
FAM59B Antibody
Description
Research Area
Images & Validation
−| Tested Applications | ELISA, IF, IHC-P, WB |
|---|---|
| Reactivity | Human, Mouse, Rat |
| Application Notes |
Key Properties
−| Antibody Type | Primary Antibody |
|---|---|
| Host | Rabbit |
| Clonality | Polyclonal |
| Isotype | IgG |
| Immunogen | FAM59B antibody was raised against a 19 amino acid synthetic peptide from near the carboxy terminus of human FAM59B.The immunogen is located within amino acids 600 - 650 of FAM59B. |
| Target | FAM59B |
| Purification | FAM59B Antibody is affinity chromatography purified via peptide column. |
| Conjugation | Unconjugated |
Storage & Handling
−| Storage | Maintain refrigerated at 2-8°C for up to 2 weeks. For long term storage store at -20°C in small aliquots to prevent freeze-thaw cycles. |
|---|---|
| Form/Appearance | Liquid |
| Buffer/Preservatives | FAM59B Antibody is supplied in PBS containing 0.02% sodium azide. |
| Concentration | 1 mg/mL |
| Expiration Date | 12 months from date of receipt. |
| Disclaimer | For research use only |
Alternative Names
−Similar Products
−GAREML Rabbit Polyclonal Antibody [orb3070944]
WB
Human, Mouse
Rabbit
Polyclonal
Unconjugated
200 μl, 100 μl, 50 μl, 30 μlFAM59B Polyclonal Antibody [orb1416716]
ELISA, IF, IHC-Fr, IHC-P
Porcine, Rat
Rabbit
Polyclonal
Unconjugated
100 μl

Quality Guarantee
Explore bioreagents carefree to elevate your research. All our products are rigorously tested for performance. If a product does not perform as described on its datasheet, our scientific support team will provide expert troubleshooting, a prompt replacement, or a refund. For full details, please see our Terms & Conditions and Buying Guide. Contact us at [email protected].

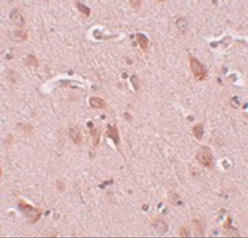
Immunohistochemistry of FAM59B in human brain tissue with FAM59B antibody at 5 µg/mL.

Western blot analysis of FAM59B in SK-N-SH cell lysate with FAM59B antibody at 1 µg/mL in (A) the absence and (B) the presence of blocking peptide.

Immunofluorescence of FAM59B in Human Brain cells with FAM59B antibody at 20 µg/mL.
Documents Download
Request a Document
Protocol Information
FAM59B Antibody (orb1239811)
Participating in our Biorbyt product reviews program enables you to support fellow scientists by sharing your firsthand experience with our products.
Login to Submit a Review


