You have no items in your shopping cart.
Description
Research Area
Images & Validation
−| Tested Applications | ELISA, IHC, WB |
|---|---|
| Reactivity | Human, Mouse, Rat |
Key Properties
−| Antibody Type | Primary Antibody |
|---|---|
| Host | Gallus |
| Clonality | Polyclonal |
| Conjugation | Unconjugated |
Storage & Handling
−| Storage | Maintain refrigerated at 2-8°C for up to 2 weeks. For long term storage store at -20°C in small aliquots to prevent freeze-thaw cycles. |
|---|---|
| Expiration Date | 12 months from date of receipt. |
| Disclaimer | For research use only |
Similar Products
−Neu rabbit pAb Antibody [orb768024]
ELISA, IF, IHC, WB
Human, Mouse, Rat
Polyclonal
Unconjugated
100 μlNeu rabbit pAb Antibody [orb765798]
ELISA, IF, IHC, WB
Human, Mouse, Rat
Polyclonal
Unconjugated
50 μl, 100 μlC-erbB-2/HER2 Mouse Monoclonal Antibody [orb499961]
IF, IHC-Fr, IHC-P, WB
Mouse, Rat
Human
Mouse
Monoclonal
Unconjugated
200 μg, 200 μl, 50 μl, 100 μlNeu (phospho Tyr1221/Y1222) rabbit pAb Antibody [orb764389]
ELISA, IF, IHC, WB
Human, Monkey, Mouse, Rat
Polyclonal
Unconjugated
100 μl, 50 μlPhospho-EGFR (Tyr1068) (E5) rabbit mAb Antibody [orb1946283]
FC
Human, Mouse, Rat
Rabbit
Monoclonal
Unconjugated
200 μl, 20 μl

Quality Guarantee
Explore bioreagents carefree to elevate your research. All our products are rigorously tested for performance. If a product does not perform as described on its datasheet, our scientific support team will provide expert troubleshooting, a prompt replacement, or a refund. For full details, please see our Terms & Conditions and Buying Guide. Contact us at [email protected].

Western blot analysis of rat liver tissue lysate at (A) 1 and (B) 2 ug/mL using erbB 2 antibody

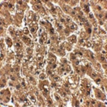
Immunohistochemical analysis of formalin-fixed and paraffin-embedded human liver tissue at 2.5 ug/mL using erbB 2 antibody
Quick Database Links
UniProt Details
−Documents Download
Request a Document
Protocol Information
erbB-2 Antibody (orb75194)
Participating in our Biorbyt product reviews program enables you to support fellow scientists by sharing your firsthand experience with our products.
Login to Submit a Review





















