You have no items in your shopping cart.
Description
Research Area
Images & Validation
−| Tested Applications | WB |
|---|---|
| Reactivity | Human |
| Predicted Reactivity | Guinea pig, Rat, Yeast |
Key Properties
−| Host | Rabbit |
|---|---|
| Clonality | Polyclonal |
| Immunogen | The immunogen is a synthetic peptide directed towards the N terminal region of human DYRK3 |
| Target | DYRK3 |
| Protein Sequence | Synthetic peptide located within the following region: EPPPPRRLNMTTEQFTGDHTQHFLDGGEMKVEQLFQEFGNRKSNTIQSDG |
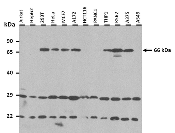
| Molecular Weight | 64kDa |
| Purification | Affinity Purified |
| Conjugation | Unconjugated |
Storage & Handling
−| Storage | Maintain refrigerated at 2-8°C for up to 2 weeks. For long term storage store at -20°C in small aliquots to prevent freeze-thaw cycles. |
|---|---|
| Buffer/Preservatives | Liquid. Purified antibody supplied in 1x PBS buffer with 0.09% (w/v) sodium azide and 2% sucrose. |
| Concentration | 0.5 mg/ml |
| Expiration Date | 12 months from date of receipt. |
| Disclaimer | For research use only |
Alternative Names
−Similar Products
−DYRK3 Rabbit Polyclonal Antibody [orb1879520]
WB
Human
Rabbit
Polyclonal
Unconjugated
200 μl, 100 μl, 50 μl, 30 μlDYRK3 Rabbit Polyclonal Antibody (Cy5) [orb877985]
IF
Bovine, Canine, Equine, Human, Mouse, Porcine, Rat, Sheep
Rabbit
Polyclonal
Cy5
100 μl

Quality Guarantee
Explore bioreagents carefree to elevate your research. All our products are rigorously tested for performance. If a product does not perform as described on its datasheet, our scientific support team will provide expert troubleshooting, a prompt replacement, or a refund. For full details, please see our Terms & Conditions and Buying Guide. Contact us at [email protected].

WB Suggested Anti-DYRK3 Antibody Titration: 0.2-1 ug/ml, ELISA Titer: 1:312500, Positive Control: HT1080 cell lysate, DYRK3 is supported by BioGPS gene expression data to be expressed in HT1080.
Quick Database Links
UniProt Details
−NCBI Reference Sequences
−| Protein | NP_001004023 |
|---|
Documents Download
Request a Document
DYRK3 Rabbit Polyclonal Antibody (orb573666)
Participating in our Biorbyt product reviews program enables you to support fellow scientists by sharing your firsthand experience with our products.
Login to Submit a Review






