You have no items in your shopping cart.
DNMT3B Antibody
Description
Images & Validation
−| Tested Applications | IF, IHC, WB |
|---|---|
| Reactivity | Human |
Key Properties
−| Antibody Type | Primary Antibody |
|---|---|
| Host | Rabbit |
| Clonality | Polyclonal |
| Conjugation | Unconjugated |
Storage & Handling
−| Storage | Maintain refrigerated at 2-8°C for up to 2 weeks. For long term storage store at -20°C in small aliquots to prevent freeze-thaw cycles. |
|---|---|
| Disclaimer | For research use only |
Similar Products
−Dnmt3b rabbit pAb Antibody [orb765064]
ELISA, IF, IHC, WB
Gallus, Human
Polyclonal
Unconjugated
100 μl, 50 μl

Quality Guarantee
Explore bioreagents carefree to elevate your research. All our products are rigorously tested for performance. If a product does not perform as described on its datasheet, our scientific support team will provide expert troubleshooting, a prompt replacement, or a refund. For full details, please see our Terms & Conditions and Buying Guide. Contact us at [email protected].

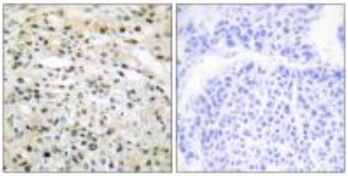
Immunohistochemistry analysis of paraffin-embedded human liver carcinoma tissue using DNMT3B antibody

Immunofluorescence analysis of HeLa cells, using DNMT3B antibody

Western blot analysis of extracts from HT-29 cells, using DNMT3B antibody

Western blot analysis of extracts from HuvEc cells (Lane 2), using DNMT3B antiobdy
Quick Database Links
UniProt Details
−Documents Download
Request a Document
Protocol Information
DNMT3B Antibody (orb193993)
Participating in our Biorbyt product reviews program enables you to support fellow scientists by sharing your firsthand experience with our products.
Login to Submit a Review



























