You have no items in your shopping cart.
DACT2 Antibody
Description
Research Area
Images & Validation
−| Tested Applications | ELISA, IF, IHC-P, WB |
|---|---|
| Reactivity | Human, Mouse, Rat |
| Application Notes |
Key Properties
−| Antibody Type | Primary Antibody |
|---|---|
| Host | Rabbit |
| Clonality | Polyclonal |
| Isotype | IgG |
| Immunogen | Dact2 antibody was raised against a 12 amino acid synthetic peptide from near the amino terminus of human DACT2.The immunogen is located within amino acids 150 - 200 of Dact2. |
| Target | DACT2 |
| Purification | Dact2 Antibody is affinity chromatography purified via peptide column. |
| Conjugation | Unconjugated |
Storage & Handling
−| Storage | Maintain refrigerated at 2-8°C for up to 2 weeks. For long term storage store at -20°C in small aliquots to prevent freeze-thaw cycles. |
|---|---|
| Form/Appearance | Liquid |
| Buffer/Preservatives | Dact2 Antibody is supplied in PBS containing 0.02% sodium azide. |
| Concentration | 1 mg/mL |
| Expiration Date | 12 months from date of receipt. |
| Disclaimer | For research use only |
Alternative Names
−Similar Products
−Dact2 Rabbit Polyclonal Antibody [orb156530]
ELISA, ICC, IF, IHC-Fr, IHC-P
Gallus, Human, Mouse, Rat
Human
Rabbit
Polyclonal
Unconjugated
50 μl, 100 μl, 200 μl

Quality Guarantee
Explore bioreagents carefree to elevate your research. All our products are rigorously tested for performance. If a product does not perform as described on its datasheet, our scientific support team will provide expert troubleshooting, a prompt replacement, or a refund. For full details, please see our Terms & Conditions and Buying Guide. Contact us at [email protected].

Western blot analysis of Dact2 in SK-N-SH cell lysate with Dact2 antibody at 1 µg/mL.

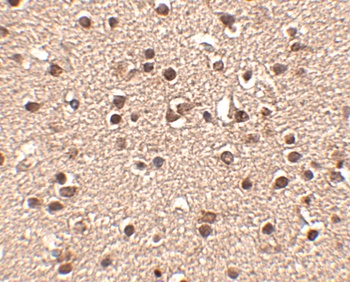
Immunohistochemistry of Dact2 in human brain tissue with Dact2 antibody at 2.5 µg/mL.

Immunofluorescence of Dact2 in Human Brain cells with Dact2 antibody at 20 µg/mL.
Documents Download
Request a Document
Protocol Information
DACT2 Antibody (orb1239921)
Participating in our Biorbyt product reviews program enables you to support fellow scientists by sharing your firsthand experience with our products.
Login to Submit a Review


