You have no items in your shopping cart.
CYR61 antibody
SKU: orb254476
Description
Images & Validation
−
| Tested Applications | IF, WB |
|---|---|
| Reactivity | Human, Mouse, Rat |
Key Properties
−| Antibody Type | Primary Antibody |
|---|---|
| Host | Rabbit |
| Clonality | Polyclonal |
| Conjugation | Unconjugated |
Storage & Handling
−| Storage | Maintain refrigerated at 2-8°C for up to 2 weeks. For long term storage store at -20°C in small aliquots to prevent freeze-thaw cycles. |
|---|---|
| Expiration Date | 12 months from date of receipt. |
| Disclaimer | For research use only |
Similar Products
−Human Cysteine Rich Protein, Angiogenic Inducer 61 (CYR61) ELISA Kit [orb777274]
Human
62.5-4000 pg/mL
25.9 pg/mL
96 T, 48 TCCN1 Rabbit Polyclonal Antibody [orb10505]
IF, IHC-Fr, IHC-P, WB
Bovine, Canine, Equine, Mouse, Rat, Sheep
Human
Rabbit
Polyclonal
Unconjugated
50 μl, 100 μl, 200 μlCYR61 / CCN1 Reference Antibody [orb1805593]
ELISA, FA, FACS, In vivo
Human
Monoclonal
Unconjugated
100 μg, 1 mg

Quality Guarantee
Explore bioreagents carefree to elevate your research. All our products are rigorously tested for performance. If a product does not perform as described on its datasheet, our scientific support team will provide expert troubleshooting, a prompt replacement, or a refund. For full details, please see our Terms & Conditions and Buying Guide. Contact us at [email protected].
Quick Database Links
UniProt
UniProt Details
− No UniProt data available
Documents Download
Datasheet
Product Information
Request a Document
Protocol Information
WB
Western Blot (IB, immunoblot)
IF
Immunofluorescence
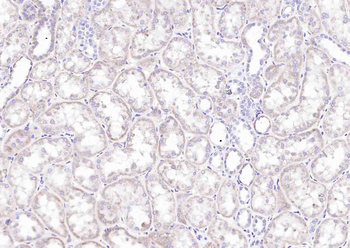
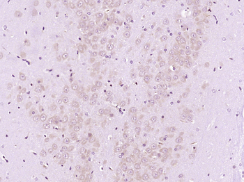
CYR61 antibody (orb254476)
Based on 0 reviews
Participating in our Biorbyt product reviews program enables you to support fellow scientists by sharing your firsthand experience with our products.
Login to Submit a Review









