You have no items in your shopping cart.
Cullin 1 Antibody
Description
Research Area
Images & Validation
−| Tested Applications | IF, IHC, WB |
|---|---|
| Dilution range | WB: 1:500-1:3000, IHC-P: 1:50-1:100, IF/ICC: 1:100-1:500, ELISA: 1:20000 |
| Reactivity | Human, Mouse |
Key Properties
−| Host | Rabbit |
|---|---|
| Clonality | Polyclonal |
| Immunogen | C-terminal |
| Conjugation | Unconjugated |
Storage & Handling
−| Storage | Maintain refrigerated at 2-8°C for up to 2 weeks. For long term storage store at -20°C in small aliquots to prevent freeze-thaw cycles. |
|---|---|
| Concentration | 1mg/ml |
| Disclaimer | For research use only |
Similar Products
−CUL-1 rabbit pAb Antibody [orb764947]
ELISA, IF, IHC, WB
Human, Mouse, Rat
Polyclonal
Unconjugated
100 μl, 50 μl

Quality Guarantee
Explore bioreagents carefree to elevate your research. All our products are rigorously tested for performance. If a product does not perform as described on its datasheet, our scientific support team will provide expert troubleshooting, a prompt replacement, or a refund. For full details, please see our Terms & Conditions and Buying Guide. Contact us at [email protected].

Western blot analysis of extracts from HeLa cells using Cullin 1 antibody

Western blot analysis of extracts from CoLo cells (Lane1) and 3T3 cells (Lane2) using Cullin 1 antibody

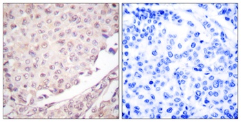
Immunohistochemical analysis of formalin-fixed and paraffin-embedded human lung carcinoma tissue using Cullin 1 antibody

Confocal immunofluorescence analysis of HeLa cells using Cullin 1 antibody
Quick Database Links
UniProt Details
−Documents Download
Request a Document
Protocol Information
Cullin 1 Antibody (orb126851)
Participating in our Biorbyt product reviews program enables you to support fellow scientists by sharing your firsthand experience with our products.
Login to Submit a Review















