You have no items in your shopping cart.
CSPG4 Antibody
Description
Images & Validation
−| Tested Applications | IHC, WB |
|---|---|
| Reactivity | Human, Mouse, Rat |
Key Properties
−| Antibody Type | Primary Antibody |
|---|---|
| Host | Rabbit |
| Clonality | Polyclonal |
| Conjugation | Unconjugated |
Storage & Handling
−| Storage | Maintain refrigerated at 2-8°C for up to 2 weeks. For long term storage store at -20°C in small aliquots to prevent freeze-thaw cycles. |
|---|---|
| Disclaimer | For research use only |
Similar Products
−Human Melanoma Associated Chondroitin Sulfate Proteoglycan (MCSP) ELISA Kit [orb776939]
Human
0.16-10 ng/mL
0.054 ng/mL
96 T, 48 TRat Melanoma Associated Chondroitin Sulfate Proteoglycan (MCSP) ELISA Kit [orb1146964]
Rat
0.16-10 ng/mL
0.058 ng/mL
48 T, 96 TNG2 Recombinant Rabbit Monoclonal Antibody [orb704325]
WB
Mouse, Rat
Human
Rabbit
Recombinant
Unconjugated
25 μl, 100 μl, 50 μlCSPG4 Antibody [orb1100534]
ELISA, IF, IHC, WB
Human, Mouse, Rat
Rabbit
Polyclonal
Unconjugated
100 μg, 50 μgNG2 Rabbit Polyclonal Antibody [orb500595]
IF, IHC-Fr, IHC-P, WB
Equine, Porcine, Rat
Human, Mouse
Rabbit
Polyclonal
Unconjugated
50 μl, 100 μl, 200 μl

Quality Guarantee
Explore bioreagents carefree to elevate your research. All our products are rigorously tested for performance. If a product does not perform as described on its datasheet, our scientific support team will provide expert troubleshooting, a prompt replacement, or a refund. For full details, please see our Terms & Conditions and Buying Guide. Contact us at [email protected].

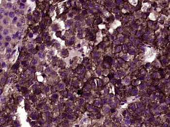
Immunohistochemical analysis of paraffin-embedded Human brain tissue using CSPG4 antibody.

Western blot analysis of Mouse skin tissue using CSPG4 antibody.
Quick Database Links
UniProt Details
−Documents Download
Request a Document
Protocol Information
CSPG4 Antibody (orb255823)
Participating in our Biorbyt product reviews program enables you to support fellow scientists by sharing your firsthand experience with our products.
Login to Submit a Review










