You have no items in your shopping cart.
CD34 Antibody
Description
Images & Validation
−| Tested Applications | IF, IHC, WB |
|---|---|
| Dilution range | Western Blot 1:500 Immunofluorescence 1:100–1:200 Immunohistochemistry (Paraffin) 1:50-1:100 |
| Reactivity | Human, Mouse, Rat |
Key Properties
−| Host | Rabbit |
|---|---|
| Clonality | Polyclonal |
| Isotype | Rabbit-IgG |
| Immunogen | Synthetic peptide / Intracellular domain corresponding to Human CD34 |
| Target | CD34 |
Storage & Handling
−| Storage | Maintain refrigerated at 2-8°C for up to 2 weeks. For long term storage store at -20°C in small aliquots to prevent freeze-thaw cycles. |
|---|---|
| Disclaimer | For research use only |
Similar Products
−CD34 Rabbit Polyclonal Antibody [orb500821]
IF, IHC-Fr, IHC-P, WB
Canine
Human, Mouse, Rat
Rabbit
Polyclonal
Unconjugated
50 μl, 100 μl, 200 μlCD34 Recombinant Rabbit Monoclonal Antibody [orb704258]
ELISA, IF, IHC-Fr, IHC-P, WB
Mouse, Rat
Human, Mouse, Rat
Rabbit
Recombinant
Unconjugated
100 μl, 50 μlCD34 Recombinant Rabbit Monoclonal Antibody [orb2563486]
IF, IHC-Fr, IHC-P, IP, WB
Mouse, Rat
Human, Mouse, Rat
Rabbit
Recombinant
Unconjugated
25 μl, 50 μl, 100 μl

Quality Guarantee
Explore bioreagents carefree to elevate your research. All our products are rigorously tested for performance. If a product does not perform as described on its datasheet, our scientific support team will provide expert troubleshooting, a prompt replacement, or a refund. For full details, please see our Terms & Conditions and Buying Guide. Contact us at [email protected].

Anti-CD34 antibody - at 1/500 dilution. Lysates at 30 µg per lane. This blot was produced using a 7.5% SDS-PAGE. Nitrocellulose membrane was then blocked with 3% BSA for an hour before being incubated with orb1294368 overnight at 4°C.

Anti-CD34 antibody - at 1/500 dilution. Lysates at 30 µg per lane. This blot was produced using a 7.5% SDS-PAGE. Nitrocellulose membrane was then blocked with 3% BSA for an hour before being incubated with orb1294368 overnight at 4°C.

Immunofluorescence: cells were fixed with 4% paraformaldehyde for 10 min at RT, permeabilized with 0.1% NP-40 for 10 min at RT then blocked with 5% BSA for 30 min at room temperature. Cells were stained with orb1294368 anti-CD34 antibody (red) at 1:100 and 4°C. DAPI (blue) was used as the nuclear counter stain.

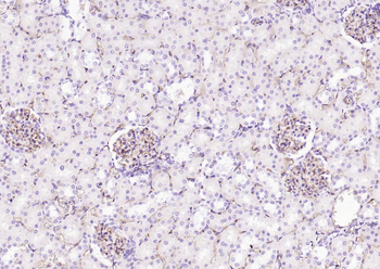
Immunohistochemical analysis of paraffin embedded Human kidney cancer tissue labeling CD34 with orb1294368 at 1/100.

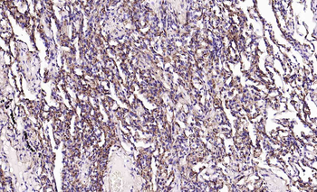
Immunohistochemical analysis of paraffin embedded Human placenta tissue labeling CD34 with orb1294368 at 1/100.
Quick Database Links
Documents Download
Request a Document
Protocol Information
CD34 Antibody (orb1294368)
Participating in our Biorbyt product reviews program enables you to support fellow scientists by sharing your firsthand experience with our products.
Login to Submit a Review


























































