You have no items in your shopping cart.
C17orf97 Polyclonal Antibody
Description
Images & Validation
−| Tested Applications | ELISA, ICC, IF, IHC-Fr, IHC-P, WB |
|---|---|
| Reactivity | Porcine, Rat |
Key Properties
−| Host | Rabbit |
|---|---|
| Clonality | Polyclonal |
| Conjugation | Unconjugated |
Storage & Handling
−| Storage | Maintain refrigerated at 2-8°C for up to 2 weeks. For long term storage store at -20°C in small aliquots to prevent freeze-thaw cycles |
|---|---|
| Expiration Date | 12 months from date of receipt. |
| Disclaimer | For research use only |
Alternative Names
−Similar Products
−C17orf97 Rabbit Polyclonal Antibody [orb582333]
WB
Bovine, Canine, Equine, Mouse, Porcine, Rabbit, Rat
Human
Rabbit
Polyclonal
Unconjugated
100 μlC17orf97 Rabbit Polyclonal Antibody [orb582334]
Canine, Equine, Mouse, Rat
Human
Rabbit
Polyclonal
Unconjugated
100 μlC17orf97 Rabbit Polyclonal Antibody [orb2641]
IF, IHC-Fr, IHC-P
Human, Mouse, Porcine
Rat
Rabbit
Polyclonal
Unconjugated
50 μl, 100 μl, 200 μlC17orf97 Rabbit Polyclonal Antibody (HRP) [orb2106689]
Canine, Equine, Human, Mouse, Rat
Rabbit
Polyclonal
HRP
100 μlC17orf97 Rabbit Polyclonal Antibody (Biotin) [orb2106691]
Canine, Equine, Human, Mouse, Rat
Rabbit
Polyclonal
Biotin
100 μl

Quality Guarantee
Explore bioreagents carefree to elevate your research. All our products are rigorously tested for performance. If a product does not perform as described on its datasheet, our scientific support team will provide expert troubleshooting, a prompt replacement, or a refund. For full details, please see our Terms & Conditions and Buying Guide. Contact us at [email protected].

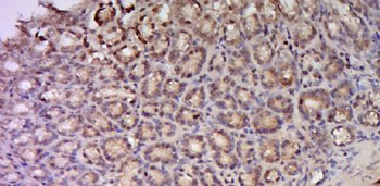
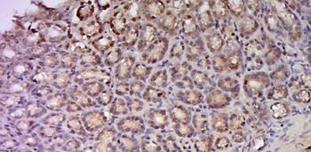
Paraformaldehyde-fixed, paraffin embedded (Rat stomach); Antigen retrieval by boiling in sodium citrate buffer (pH6.0) for 15 min; Block endogenous peroxidase by 3% hydrogen peroxide for 20 minutes; Blocking buffer (normal goat serum) at 37°C for 30 min; Antibody incubation with (C17orf97) Polyclonal Antibody, Unconjugated at 1: 500 overnight at 4°C, followed by a conjugated secondary for 20 minutes and DAB staining.
Quick Database Links
UniProt Details
−Documents Download
Request a Document
Protocol Information
C17orf97 Polyclonal Antibody (orb1416309)
Participating in our Biorbyt product reviews program enables you to support fellow scientists by sharing your firsthand experience with our products.
Login to Submit a Review


