You have no items in your shopping cart.
BUD31 Antibody
Description
Research Area
Images & Validation
−| Tested Applications | ELISA, IF, IHC, WB |
|---|---|
| Dilution Range | WB:1:500-2000, IHC-P:1:20-200, IF:1:50-200 |
| Reactivity | Human, Mouse |
Key Properties
−| Host | Rabbit |
|---|---|
| Clonality | Polyclonal |
| Isotype | IgG |
| Immunogen | Recombinant Human Protein BUD31 homolog protein (1-144AA) |
| Target | BUD31 |
| Purification | >95%, Protein G purified |
| Conjugation | Unconjugated |
Storage & Handling
−| Storage | Maintain refrigerated at 2-8°C for up to 2 weeks. For long term storage store at -20°C in small aliquots to prevent freeze-thaw cycles. |
|---|---|
| Form/Appearance | Liquid |
| Buffer/Preservatives | Preservative: 0.03% Proclin 300. Constituents: 50% Glycerol |
| Expiration Date | 12 months from date of receipt. |
| Disclaimer | For research use only |
Alternative Names
−Similar Products
−BUD31 rabbit pAb Antibody [orb764677]
ELISA, IF, IHC, WB
Human, Mouse, Rat
Polyclonal
Unconjugated
100 μl, 50 μlBUD31 Rabbit Polyclonal Antibody [orb625212]
ELISA, IHC, IP, WB
Human, Mouse, Rat
Rabbit
Polyclonal
Unconjugated
50 μg, 100 μgBUD31 Rabbit Polyclonal Antibody [orb576660]
IHC, WB
Bovine, Canine, Equine, Guinea pig, Mouse, Rabbit, Rat, Yeast, Zebrafish
Human
Rabbit
Polyclonal
Unconjugated
100 μlBUD31 Antibody [orb318934]
IHC, WB
Bovine, Human, Rat, Zebrafish
Rabbit
Polyclonal
Unconjugated
30 μl, 100 μl, 200 μl, 50 μl

Quality Guarantee
Explore bioreagents carefree to elevate your research. All our products are rigorously tested for performance. If a product does not perform as described on its datasheet, our scientific support team will provide expert troubleshooting, a prompt replacement, or a refund. For full details, please see our Terms & Conditions and Buying Guide. Contact us at [email protected].

Western blot analysis of Jurkat whole cell lysate(lane 1), Mouse liver tissue(lane 2), Raji(lane 3), NIH/3T3(lane 4), K562(lane 5), HepG-2(lane 6), U251(lane 7) whole cell lysate using BUD31 antibody

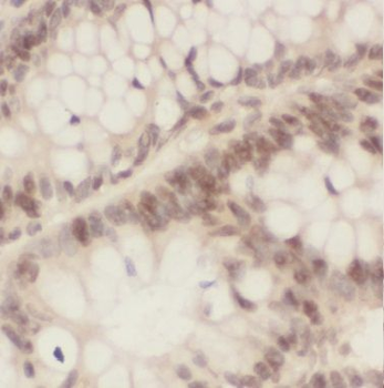
Immunohistochemical staining of human colon cancer using BUD31 antibody

Immunofluorescence analysis of MCF-7 cells using BUD31 antibody

Immunohistochemical staining of human spleen tissue using BUD31 antibody
Quick Database Links
UniProt Details
−Documents Download
Request a Document
Protocol Information
BUD31 Antibody (orb25264)
Participating in our Biorbyt product reviews program enables you to support fellow scientists by sharing your firsthand experience with our products.
Login to Submit a Review









