You have no items in your shopping cart.
Bub1 Antibody
Description
Images & Validation
−| Tested Applications | ELISA, ICC, WB |
|---|---|
| Reactivity | Human, Mouse |
Key Properties
−| Antibody Type | Primary Antibody |
|---|---|
| Host | Rabbit |
| Clonality | Polyclonal |
| Conjugation | Unconjugated |
Storage & Handling
−| Storage | Maintain refrigerated at 2-8°C for up to 2 weeks. For long term storage store at -20°C in small aliquots to prevent freeze-thaw cycles. |
|---|---|
| Disclaimer | For research use only |
Similar Products
−BubR1/BUB1B Antibody [orb570371]
ELISA, FC, ICC, IF, IHC, WB
Human, Mouse, Rat
Rabbit
Polyclonal
Unconjugated
100 μgBubR1/BUB1B Antibody (monoclonal, 5I7) [orb654276]
FC, ICC, IF, IHC, WB
Human
Mouse
Monoclonal
Unconjugated
100 μgBubR1/BUB1B Antibody (monoclonal, 8B3) [orb654277]
FC, IHC, WB
Human, Rat
Mouse
Monoclonal
Unconjugated
100 μgHuman Mitotic Checkpoint Serine/threonine-Protein Kinase BUB1 Beta (BUB1B) ELISA Kit [orb1736598]
Human
0.32-20 ng/mL
0.12 ng/mL
96 T, 48 T

Quality Guarantee
Explore bioreagents carefree to elevate your research. All our products are rigorously tested for performance. If a product does not perform as described on its datasheet, our scientific support team will provide expert troubleshooting, a prompt replacement, or a refund. For full details, please see our Terms & Conditions and Buying Guide. Contact us at [email protected].

Western blot analysis of A-20 lysate at (A) 2 and (B) 4 ug/ml using Bub1 antibody

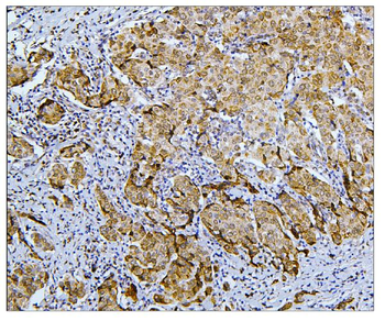
Immunohistochemical analysis of formalin-fixed and paraffin-embedded A20 cells lysates at 10 ug/mL using Bub1 antibody
Quick Database Links
UniProt Details
−Documents Download
Request a Document
Protocol Information
Bub1 Antibody (orb74841)
Participating in our Biorbyt product reviews program enables you to support fellow scientists by sharing your firsthand experience with our products.
Login to Submit a Review


























