You have no items in your shopping cart.
BRS3 peptide
SKU: orb216973
Description
Research Area
Epigenetics, GPCR, Neuroscience, Signaling Pathways
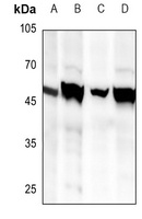
Images & Validation
−
| Tested Applications | Blocking |
|---|---|
| Application Notes |
Key Properties
−| Source | Synthetic |
|---|---|
| Target | BRS3 |
| Reactivity | Human, Rat |
| Purity | >85% |
Storage & Handling
−| Storage | Shipped at 4°C. Store at -20°C for one year. |
|---|---|
| Form/Appearance | Lyophilized powder |
| Expiration Date | 12 months from date of receipt. |
| Disclaimer | For research use only |
Alternative Names
−Bombesin receptor subtype-3; BRS-3
Similar Products
−BRS3 Rabbit Polyclonal Antibody [orb213617]
IF, WB
Human, Rat
Rabbit
Polyclonal
Unconjugated
30 μl, 100 μl, 200 μl, 50 μl

Quality Guarantee
Explore bioreagents carefree to elevate your research. All our products are rigorously tested for performance. If a product does not perform as described on its datasheet, our scientific support team will provide expert troubleshooting, a prompt replacement, or a refund. For full details, please see our Terms & Conditions and Buying Guide. Contact us at [email protected].
Documents Download
Datasheet
Product Information
Request a Document
Protocol Information
BRS3 peptide (orb216973)
Based on 0 reviews
Participating in our Biorbyt product reviews program enables you to support fellow scientists by sharing your firsthand experience with our products.
Login to Submit a Review



