You have no items in your shopping cart.
You have no items in your shopping cart.
| Catalog Number | orb1323079 |
|---|---|
| Category | Antibodies |
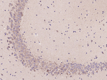
| Description | Mouse monoclonal antibody to beta IV Tubulin (TUBB4A) |
| Target | beta IV Tubulin |
| Clonality | Monoclonal |
| Species/Host | Mouse |
| Isotype | IgG2b |
| Conjugation | Unconjugated |
| Reactivity | Canine, Human, Monkey, Mouse, Rat |
| Immunogen | Full length human recombinant protein of human TUBB4 (NP_006078) produced in HEK293T cell. |
| UniProt ID | P04350 |
| MW | 49.4 kDa |
| Tested applications | FC, IF, IHC, WB |
| Dilution range | WB 1:500-2000, IHC 1:150, IF 1:100, FC 1:100 |
| Antibody Type | Primary Antibody |
| Clone Number | OTI5C1 |
| Storage | Maintain refrigerated at 2-8°C for up to 2 weeks. For long term storage store at -20°C in small aliquots to prevent freeze-thaw cycles. |
| Note | For research use only |
| NCBI | NM_006087 |

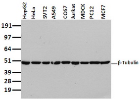
Western blot analysis of extracts (35ug) from 9 different cell lines using beta IV Tubulin (TUBB4A) antibody
IF, IHC-Fr, IHC-P, WB | |
Human | |
Mouse, Rat | |
Rabbit | |
Polyclonal | |
Unconjugated |
FC, IF, IHC, WB | |
Canine, Human, Monkey, Mouse, Rat | |
Mouse | |
Monoclonal | |
Unconjugated |
FC, IF, IHC, WB | |
Human, Monkey, Mouse, Rat | |
Mouse | |
Monoclonal | |
Unconjugated |
Participating in our Biorbyt product reviews program enables you to support fellow scientists by sharing your firsthand experience with our products.
Login to Submit a Review