You have no items in your shopping cart.
ATRX antibody
Description
Images & Validation
−| Tested Applications | ICC, IF, IHC-P, WB |
|---|---|
| Dilution Range | IF/ICC: 1:100-600, IHC-P: 1:100-600, WB: 1:100-800 |
| Reactivity | Human, Mouse, Rat |
Key Properties
−| Host | Rabbit |
|---|---|
| Clonality | Polyclonal |
| Isotype | IgG |
| Immunogen | KLH conjugated synthetic peptide derived from human ATRX. Please contact us for the exact immunogen sequence. |
| Target | ATRX |
| Molecular Weight | 282 kDa |
| Purity | Polyclonal antibodies are purified by peptide affinity chromatography |
| Conjugation | Unconjugated |
Storage & Handling
−| Storage | Maintain refrigerated at 2-8°C for up to 2 weeks. For long term storage store at -20°C in small aliquots to prevent freeze-thaw cycles. |
|---|---|
| Form/Appearance | 10 mM PBS, 0.02% sodium azide |
| Concentration | - 100 μg (in 200 μl): 0.5 mg/ml- 200 μg (in 400 μl): 0.5 mg/ml |
| Expiration Date | 12 months from date of receipt. |
| Disclaimer | For research use only |
Similar Products
−ATRX Rabbit Polyclonal Antibody [orb570369]
ELISA, IHC, WB
Human, Mouse, Rat
Rabbit
Polyclonal
Unconjugated
100 μgATRX chromatin remodeler Antibody [orb555946]
ICC, IHC-P, IP, WB
Human, Mouse, Rat
Rabbit
Polyclonal
Unconjugated
100 μlHuman Transcriptional regulator ATRX (ATRX) ELISA Kit [orb782418]
Human
0.31-20 ng/mL
0.082 ng/mL
48 T, 96 TATRX antibody [orb395790]
ELISA, IHC-P
Guinea pig, Human, Mouse, Rat
Rabbit
Polyclonal
Unconjugated
100 μg

Quality Guarantee
Explore bioreagents carefree to elevate your research. All our products are rigorously tested for performance. If a product does not perform as described on its datasheet, our scientific support team will provide expert troubleshooting, a prompt replacement, or a refund. For full details, please see our Terms & Conditions and Buying Guide. Contact us at [email protected].

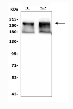
Western blot analysis of human hela (lane 1), human breast cancer (lane 2) tissue using anti-ATRX antibody (0.5 ug/ml)

IHC-P staining of rat oviduct tissue using anti-ATRX antibody (2.5 ug/ml)

IHC-P image of rat liver tissue using anti-ATRX antibody (2.5 ug/ml)

Immunohistochemical staining of paraffin embedded mouse testis tissue using anti-ATRX antibody (2.5 ug/ml)

IHC-P image of human lung cancer tissue using anti-ATRX antibody (2.5 ug/ml)

Immunohistochemical staining of human breast cancer tissue using anti-ATRX antibody (2.5 ug/ml)

IF image of human breast cancer tissue using anti-ATRX antibody (2.5 ug/ml)

Immunofluorescence analysis of human breast cancer tissue using anti-ATRX antibody (2.5 ug/ml)
Quick Database Links
UniProt Details
−Documents Download
Request a Document
Protocol Information
ATRX antibody (orb402970)
Participating in our Biorbyt product reviews program enables you to support fellow scientists by sharing your firsthand experience with our products.
Login to Submit a Review























