You have no items in your shopping cart.
You have no items in your shopping cart.
| Catalog Number | orb1240180 |
|---|---|
| Category | Antibodies |
| Description | ATG4D Antibody |
| Target | ATG4D |
| Clonality | Polyclonal |
| Isotype | IgG |
| Conjugation | Unconjugated |
| Reactivity | Human, Mouse, Rat |
| Form/Appearance | Liquid |
| Concentration | 1 mg/mL |
| Buffer/Preservatives | ATG4D antibody is supplied in PBS containing 0.02% sodium azide. |
| Purification | ATG4D antibody is affinity chromatography purified via peptide column. |
| Immunogen | ATG4D antibody was raised against a 17 amino acid peptide near the amino terminus of human ATG4D.The immunogen is located within the first 50 amino acids of ATG4D. |
| UniProt ID | Q86TL0 |
| MW | Predicted: 52 kDa Observed: 49 kDa |
| Tested applications | ELISA, IF, IHC-P, WB |
| Application notes | ATG4D antibody can be used for detection of ATG4D by Western blot at 1 - 2 μg/ml. Antibody can also be used for immunohistochemistry starting at 5 μg/mL. For immunofluorescence start at 20 μg/mL.Antibody validated: Western Blot in human samples; Immunohistochemistry in human samples and Immunofluorescence in human samples. All other applications and species not yet tested. |
| Antibody Type | Primary Antibody |
| Storage | Maintain refrigerated at 2-8°C for up to 2 weeks. For long term storage store at -20°C in small aliquots to prevent freeze-thaw cycles. |
| Alternative names | Autophagy related 4D cysteine peptidase, APG4D, AP Read more... |
| Research Area | Cell Biology |
| Note | For research use only |
| NCBI | NP_116274 |

Western blot analysis of ATG4D in human testis tissue lysate with ATG4D antibody at (A) 1 and (B) 2 µg/ml.

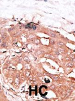
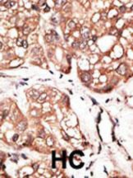
Immunohistochemistry of ATG4D in human testis tissue with ATG4D antibody at 5 µg/ml.

Immunofluorescence of ATG4D in human testis tissue with ATG4D antibody at 20 µg/ml.
IHC-P, WB | |
Porcine | |
Human, Mouse | |
Rabbit | |
Polyclonal | |
Unconjugated |
IHC-P, WB | |
Human, Mouse | |
Rabbit | |
Polyclonal | |
Unconjugated |
Participating in our Biorbyt product reviews program enables you to support fellow scientists by sharing your firsthand experience with our products.
Login to Submit a Review