You have no items in your shopping cart.
You have no items in your shopping cart.
| Catalog Number | orb1254367 |
|---|---|
| Category | Antibodies |
| Description | ASIP Antibody |
| Target | ASIP |
| Clonality | Polyclonal |
| Isotype | IgG |
| Conjugation | Unconjugated |
| Reactivity | Mouse, Rat |
| Form/Appearance | Liquid |
| Concentration | batch dependent |
| Buffer/Preservatives | Liquid |
| Purification | Affinity purification |
| Immunogen | Recombinant fusion protein containing a sequence corresponding to amino acids 23-132 of human ASIP (NP_001663.2). |
| UniProt ID | P42127 |
| Tested applications | IF, IHC |
| Application notes | IHC: 1:50 - 1:100IF: 1:50 - 1:100 |
| Antibody Type | Primary Antibody |
| Storage | Maintain refrigerated at 2-8°C for up to 2 weeks. For long term storage store at -20°C in small aliquots to prevent freeze-thaw cycles. |
| Alternative names | AGSW, AGTI, AGTIL, ASP, SHEP9, agouti-signaling pr Read more... |
| Research Area | Cell Biology, Neuroscience, Signal Transduction |
| Note | For research use only |

Immunohistochemistry of paraffin-embedded human prostate cancer using ASIP antibody (orb1254367) at dilution of 1:100 (40x lens).

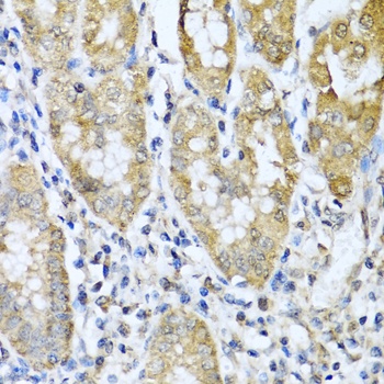
Immunohistochemistry of paraffin-embedded human gastric cancer using ASIP antibody (orb1254367) at dilution of 1:100 (40x lens).
ELISA, IF, IHC-P, WB | |
Human, Mouse, Rat | |
Polyclonal | |
Unconjugated |
ELISA, FC, IHC, IP, WB | |
Human, Mouse, Rat | |
Rabbit | |
Polyclonal | |
Unconjugated |
ELISA, WB | |
Bovine, Canine, Gallus, Mouse, Porcine, Rabbit, Rat | |
Human | |
Rabbit | |
Polyclonal | |
Unconjugated |
IF, IHC, WB | |
Gallus, Human, Mouse, Rat | |
Rabbit | |
Polyclonal | |
Unconjugated |
Participating in our Biorbyt product reviews program enables you to support fellow scientists by sharing your firsthand experience with our products.
Login to Submit a Review