You have no items in your shopping cart.
WISP1 Antibody
Description
Images & Validation
−| Tested Applications | IHC, WB |
|---|---|
| Reactivity | Human, Mouse, Rat |
| Application Notes |
Key Properties
−| Antibody Type | Primary Antibody |
|---|---|
| Host | Rabbit |
| Clonality | Polyclonal |
| Isotype | Rabbit IgG |
| Immunogen | A synthetic peptide corresponding to a sequence at the C-terminus of human WISP1, different from the related mouse and rat sequences by one amino acid. |
| Molecular Weight | 45 kDa |
| Purification | Immunogen affinity purified. |
| Conjugation | Unconjugated |
Storage & Handling
−| Storage | Maintain refrigerated at 2-8°C for up to 2 weeks. For long term storage store at -20°C in small aliquots to prevent freeze-thaw cycles. |
|---|---|
| Form/Appearance | Lyophilized |
| Concentration | Adding 0.2 ml of distilled water will yield a concentration of 500 μg/ml. |
| Disclaimer | For research use only |
Alternative Names
−Similar Products
−Human WNT1 Inducible Signaling Pathway Protein 1 (WISP1) ELISA Kit [orb777270]
Human
31.25-2000 pg/mL
12.9 pg/mL
96 T, 48 TWISP1 Rabbit Polyclonal Antibody [orb331248]
WB
Bovine, Porcine
Human
Rabbit
Polyclonal
Unconjugated
100 μl

Quality Guarantee
Explore bioreagents carefree to elevate your research. All our products are rigorously tested for performance. If a product does not perform as described on its datasheet, our scientific support team will provide expert troubleshooting, a prompt replacement, or a refund. For full details, please see our Terms & Conditions and Buying Guide. Contact us at [email protected].

IHC analysis of WISP1 using anti-WISP1 antibody.WISP1 was detected in frozen section of rat cardiac muscle tissues.

Western blot analysis using Anti-WISP1 antibody.

IHC(P) analysis of Rat Kidney Tissue using Anti-WISP1 antibody.

IHC(P) analysis of Rat Pancreas Tissue using Anti-WISP1 antibody.

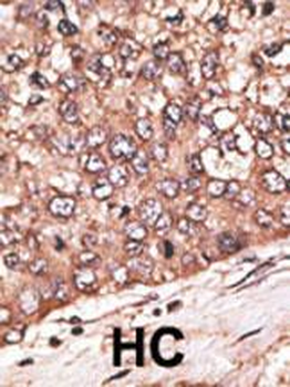
IHC(P) analysis of Human Placenta Tissue using Anti-WISP1 antibody.

ICC analysis of MCF-7 Cell using Anti-WISP1 antibody.
Quick Database Links
UniProt Details
−Documents Download
Request a Document
Protocol Information
WISP1 Antibody (orb106596)
Participating in our Biorbyt product reviews program enables you to support fellow scientists by sharing your firsthand experience with our products.
Login to Submit a Review









