You have no items in your shopping cart.
You have no items in your shopping cart.

| Catalog Number | orb2618838 |
|---|---|
| Category | Antibodies |
| Description | Anti-TNXB Antibody |
| Clonality | Polyclonal |
| Species/Host | Rabbit |
| Isotype | Rabbit IgG |
| Conjugation | iFluor647 |
| Reactivity | Human |
| Form/Appearance | Lyophilized |
| Concentration | Adding 0.2 ml of distilled water will yield a concentration of 500 μg/ml. |
| Purification | Immunogen affinity purified. |
| Immunogen | A synthetic peptide corresponding to a sequence at the C-terminus of human TNXB. |
| UniProt ID | P22105 |
| MW | 458 kDa |
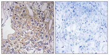
| Tested applications | FC, ICC, IF, IHC, WB |
| Application notes | Western blot, 0.1-0.5μg/ml, Human Immunohistochemistry (Paraffin-embedded Section), 0.5-1μg/ml, Human Immunocytochemistry/Immunofluorescence, 2μg/ml, Human Flow Cytometry (Fixed), 1-3μg/1x106 cells, Human. Add 0.2ml of distilled water will yield a concentration of 500ug/ml |
| Cross Reactivity | No cross-reactivity with other proteins |
| Antibody Type | Primary Antibody |
| Storage | Store at -20°C for one year from date of receipt. After reconstitution, at 4°C for one month. It can also be aliquotted and stored frozen at -20°C for six months. Avoid repeated freeze-thaw cycles. |
| Alternative names | Tenascin-X; TN-X; Hexabrachion-like protein; TNXB; Read more... |
| Note | For research use only |
Participating in our Biorbyt product reviews program enables you to support fellow scientists by sharing your firsthand experience with our products.
Login to Submit a Review